• Tel: 858.663.9055
  • SeparatorEmail: info@nsjbio.com
  • Tel: 858.663.9055
  • Email: info@nsjbio.com
Home >> Antibodies >> tPA Antibody / Tissue Plasminogen Activator

tPA Antibody / Tissue Plasminogen Activator (RQ4883)

  Catalog No Formulation Size Price (USD)  
Image RQ4883 0.5mg/ml if reconstituted with 0.2ml sterile DI water 100 ug 439
Bulk quote request
Western blot testing of 1) human HeLa, 2) human U-2 OS, 3) human U-87 MG, 4) rat liver, 5) rat kidney, 6) mouse liver and 7) mouse kidney lysate with tPA antibody at 0.5ug/ml. Expected molecular weight: 64-70 kDa.
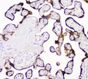
IHC staining of FFPE human placental tissue with tPA antibody at 1ug/ml. HIER: boil tissue sections in pH6, 10mM citrate buffer, for 10-20 min and allow to cool before testing.
Flow cytometry testing of human U-251 cells with tPA antibody at 1ug/10^6 cells (blocked with goat sera); Red=cells alone, Green=isotype control, Blue= tPA antibody.
Availability 1-3 business days
Species Reactivity Human, Mouse, Rat
Format Antigen affinity purified
Clonality Polyclonal (rabbit origin)
Isotype Rabbit IgG
Purity Antigen affinity purified
Buffer Lyophilized from 1X PBS with 2% Trehalose and 0.025% sodium azide
UniProt P00750
Applications Western Blot : 0.5-1ug/ml
Immunohistochemistry (FFPE) : 1-2ug/ml
Flow Cytometry : 1-3ug/10^6 cells
Limitations This tPA antibody is available for research use only.
Review this product on BioCompare and get a $20 Amazon gift card

Related Products

Description

PLAT is also known as tPA. This gene encodes tissue-type plasminogen activator, a secreted serine protease which converts the proenzyme plasminogen to plasmin, a fibrinolytic enzyme. Tissue-type plasminogen activator is synthesized as a single chain which is cleaved by plasmin to a two chain disulfide linked protein. This enzyme plays a role in cell migration and tissue remodeling. Increased enzymatic activity causes hyperfibrinolysis, which manifests as excessive bleeding; decreased activity leads to hypofibrinolysis which can result in thrombosis or embolism. Alternative splicing of this gene results in multiple transcript variants encoding different isoforms.

Application Notes

Optimal dilution of the tPA antibody should be determined by the researcher.

Immunogen

Amino acids QKDVPGVYTKVTNYLDWIRDNMRP from the human protein were used as the immunogen for the tPA antibody.

Storage

After reconstitution, the tPA antibody can be stored for up to one month at 4oC. For long-term, aliquot and store at -20oC. Avoid repeated freezing and thawing.

Cross
Bulk Quote Request Form
Name*:
Organization*:
Email*:
Phone Number*:
Catalog No.*:
Comments and Specifics(amount, formulation, etc.)*:
Validation code: Captchapackage Image


Can't read the image? click here to refresh.
    *required field

Your bulk quote request has been submitted successfully!

Please contact us if you have any questions.