• Tel: 858.663.9055
  • SeparatorEmail: info@nsjbio.com
  • Tel: 858.663.9055
  • Email: info@nsjbio.com
Home >> Antibodies >> TOX3 Antibody

TOX3 Antibody [clone TOX3/1123] (V2541)

  Catalog No Formulation Size Price (USD)  
Image V2541-100UG 0.2 mg/ml in 1X PBS with 0.1 mg/ml BSA (US sourced) and 0.05% sodium azide 100 ug 539
Image
V2541-20UG 0.2 mg/ml in 1X PBS with 0.1 mg/ml BSA (US sourced) and 0.05% sodium azide 20 ug 249
Image
V2541SAF-100UG 1 mg/ml in 1X PBS; BSA free, sodium azide free 100 ug 539
Microvalidated
Bulk quote request
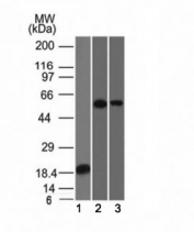
Western blot testing of human A431 cell lysate with TOX3 antibody. Predicted molecular weight ~63 kDa.
Analysis of HuProt(TM) microarray containing more than 19,000 full-length human proteins using TOX3 antibody (clone TOX3/1123). These results demonstrate the foremost specificity of the TOX3/1123 mAb.
Z- and S- score: The Z-score represents the strength of a signal that an antibody (in combination with a fluorescently-tagged anti-IgG secondary Ab) produces when binding to a particular protein on the HuProt(TM) array. Z-scores are described in units of standard deviations (SD's) above the mean value of all signals generated on that array. If the targets on the HuProt(TM) are arranged in descending order of the Z-score, the S-score is the difference (also in units of SD's) between the Z-scores. The S-score therefore represents the relative target specificity of an Ab to its intended target.
SDS-PAGE analysis of purified, BSA-free TOX3 antibody (clone TOX3/1123) as confirmation of integrity and purity.
Availability 1-3 business days
Species Reactivity Human
Format Purified
Clonality Monoclonal (mouse origin)
Isotype Mouse IgG2b, kappa
Clone Name TOX3/1123
Purity Protein G affinity chromatography
UniProt O15405
Localization Cytoplasmic & nuclear
Applications Western Blot : 1-2ug/ml
Limitations This TOX3 antibody is available for research use only.
Review this product on BioCompare and get a $20 Amazon gift card

Related Products

  • Applications : ELISA, WB
    Reactivity : Human
  • Applications : FACS, WB, IHC-P
    Reactivity : Human, Mouse

Description

It recognizes a 63kDa protein, which is identified as TOX3. It contains a high mobility group (HMG)-box, which regulates Ca2+-dependent transcription in neurons through interaction with the cAMP-response-element-binding protein (CREB). TOX3 appears to be associated with breast cancer susceptibility and is expressed downstream of a cytoprotective cascade together with CITED1, a transcriptional regulator that does not bind directly to DNA. TOX3 is predominantly expressed in the brain and forms homodimers. TOX3 overexpression protects neuronal cells from cell death caused by endoplasmic reticulum stress or BAX overexpression through the induction of anti-apoptotic transcripts and repression of pro-apoptotic transcripts.

Application Notes

Optimal dilution of the TOX3 antibody should be determined by the researcher.

Immunogen

A recombinant fragment (139 amino acid residues around aa 200-400) from the human protein was used as the immunogen for the TOX3 antibody.

Storage

Store the TOX3 antibody at 2-8oC (with azide) or aliquot and store at -20oC or colder (without azide).

Cross
Bulk Quote Request Form
Name*:
Organization*:
Email*:
Phone Number*:
Catalog No.*:
Comments and Specifics(amount, formulation, etc.)*:
Validation code: Captchapackage Image


Can't read the image? click here to refresh.
    *required field

Your bulk quote request has been submitted successfully!

Please contact us if you have any questions.