• Tel: 858.663.9055
  • SeparatorEmail: info@nsjbio.com
  • Tel: 858.663.9055
  • Email: info@nsjbio.com
Home >> Antibodies >> TOP2A Antibody

TOP2A Antibody (RQ5605)

  Catalog No Formulation Size Price (USD)  
Image RQ5605 0.5mg/ml if reconstituted with 0.2ml sterile DI water 100 ug 439
Bulk quote request
IF/ICC staining of FFPE human U-2 OS cells with TOP2A antibody (green) at 2ug/ml and DAPI nuclear stain (blue). HIER: steam section in pH6 citrate buffer for 20 min.
IHC staining of FFPE human lung cancer with TOP2A antibody. HIER: boil tissue sections in pH6, 10mM citrate buffer, for 20 min and allow to cool before testing.
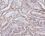
IHC staining of FFPE human rectal cancer with TOP2A antibody. HIER: boil tissue sections in pH6, 10mM citrate buffer, for 20 min and allow to cool before testing.
Western blot testing of human 1) A549, 2) U-2 OS, 3) HEK293 and 4) K562 cell lysate with TOP2A antibody. Expected molecular weight ~174 kDa.
Flow cytometry testing of human 293T cells with TOP2A antibody at 1ug/million cells (blocked with goat sera); Red=cells alone, Green=isotype control, Blue= TOP2A antibody.
Availability 1-3 business days
Species Reactivity Human
Format Antigen affinity purified
Clonality Polyclonal (rabbit origin)
Isotype Rabbit IgG
Purity Affinity purified
Buffer Lyophilized from 1X PBS with 2% Trehalose and 0.025% sodium azide
UniProt P11388
Localization Nuclear
Applications Western Blot : 0.25-0.5ug/ml
Immunohistochemistry (FFPE) : 1-2ug/ml
Flow Cytometry : 1-3ug/million cells
Immunofluorescence : 2-4ug/ml
Limitations This TOP2A antibody is available for research use only.
Review this product on BioCompare and get a $20 Amazon gift card

Related Products

Description

The human topoisomerase II enzyme is encoded by a single-copy gene which is mapped to 17q21-q22. The TOP2A gene spans approximately 30 kb and contains 35 exons. Furthermore, DNA topoisomerases are enzymes that control and alter the topologic states of DNA in both prokaryotes and eukaryotes. Topoisomerase II from eukaryotic cells catalyzes the relaxation of supercoiled DNA molecules, catenation, decatenation, knotting, and unknotting of circular DNA. It appears likely that the reaction catalyzed by topoisomerase II involves the crossing-over of 2 DNA segments. There are about 100,000 molecules of topoisomerase II per HeLa cell nucleus, constituting about 0.1% of the nuclear extract1. DNA topoisomerase II-alpha is associated with the pol II holoenzyme and is a required component of chromatin-dependent coactivation. Specific inhibitors of topoisomerase II blocked transcription on chromatin templates, but did not affect transcription on naked templates. Addition of purified topoisomerase II-alpha reconstituted chromatin-dependent activation activity in reactions with core pol II2.

Application Notes

Optimal dilution of the TOP2A antibody should be determined by the researcher.

Immunogen

Amino acids EDYLYGQTTTYLTYND were used as the immunogen for the TOP2A antibody.

Storage

After reconstitution, the TOP2A antibody can be stored for up to one month at 4oC. For long-term, aliquot and store at -20oC. Avoid repeated freezing and thawing.

Cross
Bulk Quote Request Form
Name*:
Organization*:
Email*:
Phone Number*:
Catalog No.*:
Comments and Specifics(amount, formulation, etc.)*:
Validation code: Captchapackage Image


Can't read the image? click here to refresh.
    *required field

Your bulk quote request has been submitted successfully!

Please contact us if you have any questions.