• Tel: 858.663.9055
  • SeparatorEmail: info@nsjbio.com
  • Tel: 858.663.9055
  • Email: info@nsjbio.com
Home >> Antibodies >> TOMM34 Antibody / Translocase of outer membrane 34 kDa subunit

TOMM34 Antibody / Translocase of outer membrane 34 kDa subunit (RQ7578)

  Catalog No Formulation Size Price (USD)  
Image RQ7578 0.5mg/ml if reconstituted with 0.2ml sterile DI water 100 ug 439
Bulk quote request
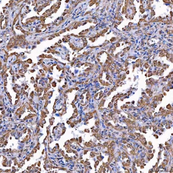
IHC staining of FFPE human lung cancer tissue with TOMM34 antibody. HIER: boil tissue sections in pH8 EDTA for 20 min and allow to cool before testing.
IHC staining of FFPE human liver cancer tissue with TOMM34 antibody. HIER: boil tissue sections in pH8 EDTA for 20 min and allow to cool before testing.
IHC staining of FFPE human breast cancer tissue with TOMM34 antibody. HIER: boil tissue sections in pH8 EDTA for 20 min and allow to cool before testing.
IHC staining of FFPE human cervical cancer tissue with TOMM34 antibody. HIER: boil tissue sections in pH8 EDTA for 20 min and allow to cool before testing.
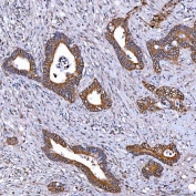
IHC staining of FFPE human prostate cancer tissue with TOMM34 antibody. HIER: boil tissue sections in pH8 EDTA for 20 min and allow to cool before testing.
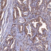
IHC staining of FFPE human colon cancer tissue with TOMM34 antibody. HIER: boil tissue sections in pH8 EDTA for 20 min and allow to cool before testing.
IHC staining of FFPE human placental tissue with TOMM34 antibody. HIER: boil tissue sections in pH8 EDTA for 20 min and allow to cool before testing.
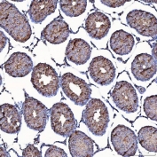
IHC staining of FFPE rat testis tissue with TOMM34 antibody. HIER: boil tissue sections in pH8 EDTA for 20 min and allow to cool before testing.
Western blot testing of 1) human A549, 2) human A375, 3) human HeLa, 4) human 293T, 5) rat testis and 6) mouse testis tissue lysate with TOMM34 antibody. Predicted molecular weight ~34 kDa.
Flow cytometry testing of human Daudi cells with TOMM34 antibody at 1ug/million cells (blocked with goat sera); Red=cells alone, Green=isotype control, Blue= TOMM34 antibody.
Availability 1-3 business days
Species Reactivity Human, Mouse, Rat
Format Antigen affinity purified
Clonality Polyclonal (rabbit origin)
Isotype Rabbit IgG
Purity Antigen affinity purified
Buffer Lyophilized from 1X PBS with 2% Trehalose
UniProt Q15785
Localization Cytoplasmic
Applications Western Blot : 0.5-1ug/ml
Immunohistochemistry (FFPE) : 2-5ug/ml
Flow Cytometry : 1-3ug/million cells
Direct ELISA : 0.1-0.5ug/ml
Limitations This TOMM34 antibody is available for research use only.
Review this product on BioCompare and get a $20 Amazon gift card

Description

Mitochondrial import receptor subunit TOM34 is a protein that in humans is encoded by the TOMM34 gene. The protein encoded by this gene is involved in the import of precursor proteins into mitochondria. The encoded protein has a chaperone-like activity, binding the mature portion of unfolded proteins and aiding their import into mitochondria. This protein, which is found in the cytoplasm and sometimes associated with the outer mitochondrial membrane, has a weak ATPase activity and contains 6 TPR repeats.

Application Notes

Optimal dilution of the TOMM34 antibody should be determined by the researcher.

Immunogen

E. coli-derived recombinant human protein (amino acids M1-H309) was used as the immunogen for the TOMM34 antibody.

Storage

After reconstitution, the TOMM34 antibody can be stored for up to one month at 4oC. For long-term, aliquot and store at -20oC. Avoid repeated freezing and thawing.

Cross
Bulk Quote Request Form
Name*:
Organization*:
Email*:
Phone Number*:
Catalog No.*:
Comments and Specifics(amount, formulation, etc.)*:
Validation code: Captchapackage Image


Can't read the image? click here to refresh.
    *required field

Your bulk quote request has been submitted successfully!

Please contact us if you have any questions.