• Tel: 858.663.9055
  • SeparatorEmail: info@nsjbio.com
  • Tel: 858.663.9055
  • Email: info@nsjbio.com
Home >> Antibodies >> TOMM20 Antibody

TOMM20 Antibody (RQ7209)

  Catalog No Formulation Size Price (USD)  
Image RQ7209 0.5mg/ml if reconstituted with 0.2ml sterile DI water 100 ug 439
Bulk quote request
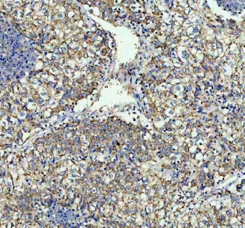
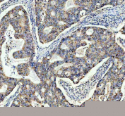
IHC staining of FFPE human lung cancer tissue with TOMM20 antibody. HIER: boil tissue sections in pH8 EDTA for 20 min and allow to cool before testing.
IHC staining of FFPE rat brain tissue with TOMM20 antibody. HIER: boil tissue sections in pH8 EDTA for 20 min and allow to cool before testing.
Immunoprecipitation of TOMM20 protein from 500ug of human HepG2 whole cell lysate with 2ug of TOMM20 antibody.
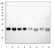
Western blot testing of 1) human 293T, 2) human HeLa, 3) human HepG2, 4) human Jurkat, 5) rat brain, 6) rat liver, 7) mouse brain and 8) mouse liver tissue lysate with TOMM20 antibody. Predicted molecular weight ~16 kDa.
Immunofluorescent staining of FFPE human MG63 cells with TOMM20 antibody (green) and DAPI nuclear stain (blue). HIER: steam section in pH6 citrate buffer for 20 min.
Immunofluorescent staining of FFPE human SiHa cells with TOMM20 antibody (green) and DAPI nuclear stain (blue). HIER: steam section in pH6 citrate buffer for 20 min.
Western blot testing of human 1) 293T, 2) HepG2, 3) HeLa, 4) SH-SY5Y and 5) HL60 cell lysate with TOMM20 antibody. Predicted molecular weight ~16 kDa.
Western blot testing of 1) human HepG2, 2) human 293T, 3) human K562, 4) human HeLa, 5) rat brain, 6) rat kidney, 7) mouse brain and 8) mouse kidney tissue lysate with TOMM20 antibody. Predicted molecular weight ~16 kDa.
Immunoprecipitation of TOMM20 protein from 500ug of human 293T whole cell lysate with 2ug of TOMM20 antibody.
Immunofluorescent staining of FFPE human HeLa cells with TOMM20 antibody (green) and DAPI nuclear stain (blue). HIER: steam section in pH6 citrate buffer for 20 min.
Immunofluorescent staining of FFPE human colon cancer tissue with TOMM20 antibody (red) and DAPI nuclear stain (blue). HIER: steam section in pH8 EDTA buffer for 20 min.
IHC staining of FFPE human lung cancer tissue with TOMM20 antibody. HIER: boil tissue sections in pH8 EDTA for 20 min and allow to cool before testing.
IHC staining of FFPE human colon cancer tissue with TOMM20 antibody. HIER: boil tissue sections in pH8 EDTA for 20 min and allow to cool before testing.
Flow cytometry testing of fixed and permeabilized human HepG2 cells with TOMM20 antibody at 1ug/million cells (blocked with goat sera); Red=cells alone, Green=isotype control, Blue= TOMM20 antibody.
Availability 1-3 business days
Species Reactivity Human, Mouse, Rat
Format Antigen affinity purified
Clonality Polyclonal (rabbit origin)
Isotype Rabbit IgG
Purity Antigen affinity purified
Buffer Lyophilized from 1X PBS with 2% Trehalose
UniProt Q15388
Localization Cytoplasmic (mitochondria membrane)
Applications Western Blot : 0.5-1ug/ml
Immunohistochemistry (FFPE) : 2-5ug/ml
Immunofluorescence : 5ug/ml
Immunoprecipitation : 2ug/500ug of lysate
Flow Cytometry : 1-3ug/million cells
Direct ELISA : 0.1-0.5ug/ml
Limitations This TOMM20 antibody is available for research use only.
Review this product on BioCompare and get a $20 Amazon gift card

Description

Mitochondrial import receptor subunit TOM20 homolog is a protein that in humans is encoded by the TOMM20 gene. Enables protein-transporting ATPase activity and unfolded protein binding activity. Involved in protein targeting to mitochondrion. Located in mitochondria-associated endoplasmic reticulum membrane and mitochondrial outer membrane.

Application Notes

Optimal dilution of the TOMM20 antibody should be determined by the researcher.

Immunogen

Recombinant human protein (amino acids D25-E145) was used as the immunogen for the TOMM20 antibody.

Storage

After reconstitution, the TOMM20 antibody can be stored for up to one month at 4oC. For long-term, aliquot and store at -20oC. Avoid repeated freezing and thawing.

Cross
Bulk Quote Request Form
Name*:
Organization*:
Email*:
Phone Number*:
Catalog No.*:
Comments and Specifics(amount, formulation, etc.)*:
Validation code: Captchapackage Image


Can't read the image? click here to refresh.
    *required field

Your bulk quote request has been submitted successfully!

Please contact us if you have any questions.