• Tel: 858.663.9055
  • SeparatorEmail: info@nsjbio.com
  • Tel: 858.663.9055
  • Email: info@nsjbio.com
Home >> Antibodies >> TOM1L1 Antibody

TOM1L1 Antibody [clone TOM1L1/4690] (V9158)

  Catalog No Formulation Size Price (USD)  
Image V9158-100UG 0.2 mg/ml in 1X PBS with 0.1 mg/ml BSA (US sourced), 0.05% sodium azide 100 ug 539
Image
V9158-20UG 0.2 mg/ml in 1X PBS with 0.1 mg/ml BSA (US sourced), 0.05% sodium azide 20 ug 249
Image
V9158SAF-100UG 1 mg/ml in 1X PBS; BSA free, sodium azide free 100 ug 539
Bulk quote request
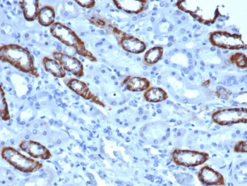
IHC staining of FFPE human kidney tissue with TOM1L1 antibody (clone TOM1L1/4690) at 2ug/ml in PBS for 30min RT. HIER: boil tissue sections in pH 9 10mM Tris with 1mM EDTA for 20 min and allow to cool before testing.
Negative control: IHC staining of FFPE human brain tissue using TOM1L1 antibody (clone TOM1L1/4690) at 2ug/ml in PBS for 30min RT. HIER: boil tissue sections in pH 9 10mM Tris with 1mM EDTA for 20 min and allow to cool before testing.
Availability 1-3 business days
Species Reactivity Human
Format Purified
Clonality Monoclonal (mouse origin)
Isotype Mouse IgG
Clone Name TOM1L1/4690
Purity Protein A/G affinity
UniProt O75674
Localization Cytoplasm
Applications Immunohistochemistry (FFPE) : 2-4ug/ml
Limitations This TOM1L1 antibody is available for research use only.
Review this product on BioCompare and get a $20 Amazon gift card

Related Products

  • Applications : WB, IF, FACS, ELISA (peptide)
    Reactivity : Human
  • Applications : WB, IHC-P, FACS, IF, Direct ELISA
    Reactivity : Human, Mouse, Rat

Description

Tom1 (target of Myb 1) is a 492 amino acid cytoplasmic protein that belongs to the Tom1 family. Widely expressed with highest expression in heart, liver, placenta and skeletal muscle, Tom1 is thought to be involved in intracellular trafficking and may be associated with the translocation of ubiquitinated proteins to early endosomes for degradation. Tom1 contains one GAT domain and one VHS domain through which it interacts and complexes with proteins such as Tollip and endofin (also known as SARA). These interactions recruit Tom1 to the endosome, allowing it to participate in the endosomal trafficking of ubiquitin-tagged proteins.

Application Notes

Optimal dilution of the TOM1L1 antibody should be determined by the researcher.

Immunogen

Recombinant full-length human TOM1L1 protein was used as the immunogen for the TOM1L1 antibody.

Storage

Aliquot the TOM1L1 antibody and store frozen at -20oC or colder. Avoid repeated freeze-thaw cycles.

Cross
Bulk Quote Request Form
Name*:
Organization*:
Email*:
Phone Number*:
Catalog No.*:
Comments and Specifics(amount, formulation, etc.)*:
Validation code: Captchapackage Image


Can't read the image? click here to refresh.
    *required field

Your bulk quote request has been submitted successfully!

Please contact us if you have any questions.