• Tel: 858.663.9055
  • SeparatorEmail: info@nsjbio.com
  • Tel: 858.663.9055
  • Email: info@nsjbio.com
Home >> Antibodies >> TOM1 Antibody / Target of Myb protein 1

TOM1 Antibody / Target of Myb protein 1 (FY12163)

  Catalog No Formulation Size Price (USD)  
Image FY12163 Adding 0.2 ml of distilled water will yield a concentration of 500 ug/ml 100 ug 439
Bulk quote request
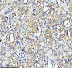
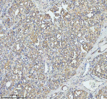
Immunohistochemical staining of TOM1 using anti-TOM1 antibody. TOM1 was detected in a paraffin-embedded section of human thyroid cancer tissue. Heat mediated antigen retrieval was performed in EDTA buffer (pH 8.0, epitope retrieval solution). The tissue section was blocked with 10% goat serum. The tissue section was then incubated with 2 ug/ml rabbit anti-TOM1 antibody overnight at 4oC. Peroxidase Conjugated Goat Anti-rabbit IgG was used as secondary antibody and incubated for 30 minutes at 37oC. The tissue section was developed using an HRP secondary and DAB substrate.
Western blot analysis of TOM1 using anti-TOM1 antibody. Lane 1: human Hela whole cell lysates, Lane 2: human K562 whole cell lysates, Lane 3: human HepG2 whole cell lysates, Lane 4: human 293T whole cell lysates. After electrophoresis, proteins were transferred to a nitrocellulose membrane at 150 mA for 50-90 minutes. Blocked the membrane with 5% non-fat milk/TBS for 1.5 hour at RT. The membrane was incubated with rabbit anti-TOM1 antibody at 0.5 ug/ml overnight at 4oC, then washed with TBS-0.1%Tween 3 times with 5 minutes each and probed with a goat anti-rabbit IgG-HRP secondary antibody at a dilution of 1:5000 for 1.5 hour at RT. The signal was developed using enhanced chemiluminescent. A specific band was detected for TOM1 at approximately 54 kDa. The expected band size for TOM1 is at 54 kDa.
Immunohistochemical staining of TOM1 using anti-TOM1 antibody. TOM1 was detected in a paraffin-embedded section of human thyroid cancer tissue. Heat mediated antigen retrieval was performed in EDTA buffer (pH 8.0, epitope retrieval solution). The tissue section was blocked with 10% goat serum. The tissue section was then incubated with 2 ug/ml rabbit anti-TOM1 antibody overnight at 4oC. Peroxidase Conjugated Goat Anti-rabbit IgG was used as secondary antibody and incubated for 30 minutes at 37oC. The tissue section was developed using an HRP secondary and DAB substrate.
Immunofluorescent staining of TOM1 using anti-TOM1 antibody (green). TOM1 was detected in an immunocytochemical section of HELA cells. Enzyme antigen retrieval was performed using IHC enzyme antigen retrieval reagent for 15 mins. The cells were blocked with 10% goat serum. And then incubated with 5 ug/ml rabbit anti-TOM1 antibody overnight at 4oC. DyLight 488 Conjugated Goat Anti-Rabbit IgG was used as secondary antibody at 1:500 dilution and incubated for 30 minutes at 37oC. The section was counterstained with DAPI nuclear stain (blue). Visualize using a fluorescence microscope and filter sets appropriate for the label used.
Flow Cytometry analysis of Hela cells using anti-TOM1 antibody. Overlay histogram showing Hela cells stained with (Blue line). The cells were fixed with 4% paraformaldehyde and blocked with 10% normal goat serum. And then incubated with rabbit anti-TOM1 antibody (1 ug/million cells) for 30 min at 20oC. DyLight 488 conjugated goat anti-rabbit IgG (5-10 ug/million cells) was used as secondary antibody for 30 minutes at 20oC. Isotype control antibody (Green line) was rabbit IgG (1 ug/million cells) used under the same conditions. Unlabelled sample without incubation with primary antibody and secondary antibody (Red line) was used as a blank control.
Immunoprecipitating TOM1 in HepG2 whole cell lysate. Western blot analysis of TOM1 using anti-TOM1 antibody. Lane 1: HepG2 whole cell lysates (30ug), Lane 2: Rabbit control IgG instead of anti-TOM1 antibody in HepG2 whole cell lysate, Lane 3: anti-TOM1 antibody (2ug) + HepG2 whole cell lysate (500ug). After electrophoresis, proteins were transferred to a membrane. Then the membrane was incubated with rabbit anti-TOM1 antibody at a dilution of 0.5 ug/ml and probed with a goat anti-rabbit IgG-HRP secondary antibody (Light chain). The signal is developed using ECL Plus Western Blotting Substrate. A specific band was detected for TOM1 at approximately 54 kDa. The expected band size for TOM1 is at 54 kDa.
Availability 1-2 days
Species Reactivity Human
Format Lyophilized
Clonality Polyclonal (rabbit origin)
Isotype Rabbit IgG
Purity Immunogen affinity purified
Buffer Each vial contains 4 mg Trehalose, 0.9 mg NaCl, 0.2 mg Na2HPO4.
UniProt O60784
Localization Cytoplasm
Applications ELISA : 0.1-0.5ug/ml
Flow Cytometry : 1-3ug/million cells
Immunoprecipitation : 2-4ug/500ug of lysate
Immunofluorescence : 5ug/ml
Immunohistochemistry : 2-5ug/ml
Immunocytochemistry : 5ug/ml
Western Blot : 0.25-0.5ug/ml
Limitations This TOM1 antibody is available for research use only.
Review this product on BioCompare and get a $20 Amazon gift card

Description

TOM1 antibody detects Target of Myb protein 1, encoded by the TOM1 gene on chromosome 22q13.1. TOM1 antibody is widely applied in the study of intracellular trafficking and endosomal sorting. TOM1 belongs to a conserved protein family involved in endosomal trafficking, autophagy, and receptor signaling regulation. It was originally identified as a protein interacting with the transcription factor Myb, but subsequent research has shown its main functions lie in vesicular transport and signaling integration at early endosomes. Expression is observed in a wide range of tissues, including brain, lung, liver, and immune cells, where TOM1 contributes to receptor downregulation and lysosomal targeting.

Structurally, TOM1 contains an N-terminal VHS (Vps27, Hrs, STAM) domain that binds phosphatidylinositol-3-phosphate (PI3P) and ubiquitin-tagged cargo. It also includes a GAT (GGA and TOM1) domain that mediates interactions with clathrin and other trafficking proteins. The C-terminal region interacts with Tollip (Toll-interacting protein), linking TOM1 to endosomal sorting of receptors. These modular domains position TOM1 as a scaffold that integrates lipid binding, cargo recognition, and adaptor protein recruitment for endosomal trafficking.

Functionally, TOM1 regulates receptor endocytosis and degradation. By binding ubiquitinated cargo and interacting with clathrin, TOM1 helps direct activated receptor tyrosine kinases, Toll-like receptors, and growth factor receptors toward lysosomal degradation. TOM1 also contributes to autophagy by interacting with proteins such as Myosin VI, directing cargo toward autophagosomes. Knockdown of TOM1 disrupts endosomal sorting, resulting in receptor accumulation and dysregulated signaling. Researchers employ TOM1 antibody to examine its roles in endocytosis, receptor turnover, and autophagic flux.

Clinically, altered TOM1 expression has been associated with inflammatory disease and cancer. Overexpression of TOM1 enhances degradation of activated receptors, reducing signaling intensity, while reduced expression may prolong receptor activation. Dysregulation of TOM1 has been implicated in chronic inflammatory states, where defective receptor turnover contributes to hyperactive immune responses. In oncology, TOM1 overexpression has been reported in some tumor types, potentially linking it to altered growth factor signaling. Further studies continue to explore its clinical significance.

Experimentally, TOM1 antibody is used in western blotting to detect the ~54 kDa protein, in immunofluorescence to localize it to endosomes, and in immunohistochemistry to evaluate tissue expression. Co-immunoprecipitation with TOM1 antibody helps identify binding partners such as Tollip, clathrin, and Myosin VI. NSJ Bioreagents provides TOM1 antibody for use in studies of endosomal trafficking, receptor regulation, and autophagy.

Application Notes

Optimal dilution of the TOM1 antibody should be determined by the researcher.

Immunogen

E.coli-derived human TOM1 recombinant protein (Position: R84-K480) was used as the immunogen for the TOM1 antibody.

Storage

After reconstitution, the TOM1 antibody can be stored for up to one month at 4oC. For long-term, aliquot and store at -20oC. Avoid repeated freezing and thawing.

Cross
Bulk Quote Request Form
Name*:
Organization*:
Email*:
Phone Number*:
Catalog No.*:
Comments and Specifics(amount, formulation, etc.)*:
Validation code: Captchapackage Image


Can't read the image? click here to refresh.
    *required field

Your bulk quote request has been submitted successfully!

Please contact us if you have any questions.