• Tel: 858.663.9055
  • SeparatorEmail: info@nsjbio.com
  • Tel: 858.663.9055
  • Email: info@nsjbio.com
Home >> Antibodies >> Toll-like receptor 8 Antibody / TLR8

Toll-like receptor 8 Antibody / TLR8 (RQ6527)

  Catalog No Formulation Size Price (USD)  
Image RQ6527 0.5mg/ml if reconstituted with 0.2ml sterile DI water 100 ug 439
Bulk quote request
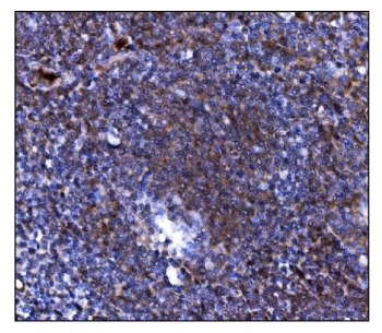
IHC staining of FFPE human tonsil tissue with Toll-like receptor 8 antibody. HIER: boil tissue sections in pH8 EDTA for 20 min and allow to cool before testing.
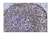
IHC staining of FFPE human gastric cancer tissue with Toll-like receptor 8 antibody. HIER: boil tissue sections in pH8 EDTA for 20 min and allow to cool before testing.
Availability 1-3 business days
Species Reactivity Human
Format Antigen affinity purified
Clonality Polyclonal (rabbit origin)
Isotype Rabbit IgG
Purity Affinity purified
Buffer Lyophilized from 1X PBS with 2% Trehalose
UniProt Q9NR97
Localization Cytoplasmic
Applications Immunohistochemistry (FFPE) : 2-5ug/ml
Limitations This Toll-like receptor 8 antibody is available for research use only.
Review this product on BioCompare and get a $20 Amazon gift card

Related Products

  • Applications : WB
    Reactivity : Rat
  • Applications : WB, IHC, ELISA
    Reactivity : Human
  • Applications : WB, IHC, ELISA
    Reactivity : Human, Mouse
  • Applications : WB
    Reactivity : Human, Rat

Description

TLR8 (Toll-like receptor 8) is a protein that in humans is encoded by the TLR8 gene. TLR8 has also been designated as CD288 (cluster of differentiation 288).The TLR8 gene is mapped to Xp22.3-p22.2 by Chuang and Ulevitch (2000) and Du et al. (2000). The protein encoded by this gene is a member of the Toll-like receptor (TLR) family which plays a fundamental role in pathogen recognition and activation of innate immunity. TLRs are highly conserved from Drosophila to humans and share structural and functional similarities. They recognize pathogen-associated molecular patterns (PAMPs) that are expressed on infectious agents, and mediate the production of cytokines necessary for the development of effective immunity. The various TLRs exhibit different patterns of expression. This gene is predominantly expressed in lung and peripheral blood leukocytes, and lies in close proximity to another family member, TLR7, on chromosome X. TLR8 recognizes G-rich oligonucleotides.

Application Notes

Optimal dilution of the Toll-like receptor 8 antibody should be determined by the researcher.

Immunogen

Amino acids RLQEVPQTVGKYVTELDL from the human protein were used as the immunogen for the Toll-like receptor 8 antibody.

Storage

After reconstitution, the Toll-like receptor 8 antibody can be stored for up to one month at 4oC. For long-term, aliquot and store at -20oC. Avoid repeated freezing and thawing.

Cross
Bulk Quote Request Form
Name*:
Organization*:
Email*:
Phone Number*:
Catalog No.*:
Comments and Specifics(amount, formulation, etc.)*:
Validation code: Captchapackage Image


Can't read the image? click here to refresh.
    *required field

Your bulk quote request has been submitted successfully!

Please contact us if you have any questions.