• Tel: 858.663.9055
  • SeparatorEmail: info@nsjbio.com
  • Tel: 858.663.9055
  • Email: info@nsjbio.com
Home >> Antibodies >> TNS4 Antibody / Tensin 4

TNS4 Antibody / Tensin 4 (FY12205)

  Catalog No Formulation Size Price (USD)  
Image FY12205 Adding 0.2 ml of distilled water will yield a concentration of 500 ug/ml 100 ug 439
Bulk quote request
Immunohistochemical staining of TNS4 using anti-TNS4 antibody. TNS4 was detected in a paraffin-embedded section of human colon tissue. Heat mediated antigen retrieval was performed in EDTA buffer (pH 8.0, epitope retrieval solution). The tissue section was blocked with 10% goat serum. The tissue section was then incubated with 2 ug/ml rabbit anti-TNS4 antibody overnight at 4oC. Peroxidase Conjugated Goat Anti-rabbit IgG was used as secondary antibody and incubated for 30 minutes at 37oC. The tissue section was developed using an HRP secondary and DAB substrate.
Western blot analysis of TNS4 using anti-TNS4 antibody. Electrophoresis was performed on a 10% SDS-PAGE gel at 80V (Stacking gel) / 120V (Resolving gel) for 2 hours. Lane 1: human HepG2 whole cell lysates, Lane 2: human Hela whole cell lysates. After electrophoresis, proteins were transferred to a nitrocellulose membrane at 150 mA for 50-90 minutes. Blocked the membrane with 5% non-fat milk/TBS for 1.5 hour at RT. The membrane was incubated with rabbit anti-TNS4 antibody at 0.5 ug/ml overnight at 4oC, then washed with TBS-0.1%Tween 3 times with 5 minutes each and probed with a goat anti-rabbit IgG-HRP secondary antibody at a dilution of 1:5000 for 1.5 hour at RT. The signal was developed using an ECL Plus Western Blotting Substrate. A specific band was detected for TNS4 at approximately 77 kDa. The expected band size for TNS4 is at 77 kDa.
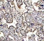
Immunohistochemical staining of TNS4 using anti-TNS4 antibody. TNS4 was detected in a paraffin-embedded section of human placenta tissue. Heat mediated antigen retrieval was performed in EDTA buffer (pH 8.0, epitope retrieval solution). The tissue section was blocked with 10% goat serum. The tissue section was then incubated with 2 ug/ml rabbit anti-TNS4 antibody overnight at 4oC. Peroxidase Conjugated Goat Anti-rabbit IgG was used as secondary antibody and incubated for 30 minutes at 37oC. The tissue section was developed using an HRP secondary and DAB substrate.
Flow Cytometry analysis of MCF-7 cells using anti-TNS4 antibody. Overlay histogram showing MCF-7 cells stained with (Blue line). To facilitate intracellular staining, cells were fixed with 4% paraformaldehyde and permeabilized with permeabilization buffer. The cells were blocked with 10% normal goat serum. And then incubated with rabbit anti-TNS4 antibody (1 ug/million cells) for 30 min at 20oC. DyLight 488 conjugated goat anti-rabbit IgG (5-10 ug/million cells) was used as secondary antibody for 30 minutes at 20oC. Isotype control antibody (Green line) was rabbit IgG (1 ug/million cells) used under the same conditions. Unlabelled sample without incubation with primary antibody and secondary antibody (Red line) was used as a blank control.
Availability 1-2 days
Species Reactivity Human
Format Lyophilized
Clonality Polyclonal (rabbit origin)
Isotype Rabbit IgG
Purity Immunogen affinity purified
Buffer Each vial contains 4 mg Trehalose, 0.9 mg NaCl, 0.2 mg Na2HPO4.
UniProt Q8IZW8
Applications Western Blot : 0.25-0.5ug/ml
Immunohistochemistry : 2-5ug/ml
Flow Cytometry : 1-3ug/million cells
ELISA : 0.1-0.5ug/ml
Limitations This TNS4 antibody is available for research use only.
Review this product on BioCompare and get a $20 Amazon gift card

Related Products

Description

TNS4 antibody detects Tensin-4, encoded by the TNS4 gene on chromosome 17q12. TNS4 antibody is widely used in studies of adhesion, migration, and cancer biology. Tensin-4, also known as C-terminal tensin-like protein (Cten), is part of the tensin family of actin-binding proteins localized to focal adhesions. Unlike other tensin family members, TNS4 lacks an actin-binding domain, functioning primarily as an adaptor linking integrins and signaling proteins. It is expressed in epithelial tissues and is frequently upregulated in cancers, where it promotes motility and invasion.

Structurally, Tensin-4 contains SH2 and PTB domains that mediate binding to phosphorylated proteins and integrins. It localizes to focal adhesions, interacting with integrin tails and signaling molecules such as Src and PI3K. Its lack of an actin-binding domain differentiates it from Tensin-1, -2, and -3, conferring specialized signaling roles rather than structural crosslinking.

Functionally, TNS4 regulates focal adhesion dynamics and integrin signaling. By linking integrins to signaling pathways, it promotes cell motility, survival, and epithelial-mesenchymal transition (EMT). Knockdown reduces migration and invasion, while overexpression enhances metastatic potential. TNS4 also influences growth factor receptor signaling, contributing to proliferation and survival. Researchers use TNS4 antibody to study focal adhesion biology, integrin signaling, and cancer metastasis.

Clinically, TNS4 is a biomarker and driver of cancer progression. It is overexpressed in colorectal, breast, pancreatic, and lung cancers, correlating with poor prognosis. Its expression enhances invasion and resistance to apoptosis, making it a therapeutic target in oncology. Beyond cancer, TNS4 participates in wound healing by promoting migration of epithelial cells. NSJ Bioreagents provides TNS4 antibody for oncology and adhesion research.

Experimentally, TNS4 antibody is applied in western blotting to detect the ~80 kDa protein, in immunohistochemistry to study tumor expression, and in immunofluorescence microscopy to analyze focal adhesion localization. Co-immunoprecipitation with TNS4 antibody identifies integrin and signaling partners, revealing mechanisms of adhesion regulation.

Application Notes

Optimal dilution of the TNS4 antibody should be determined by the researcher.

Immunogen

E.coli-derived human TNS4 recombinant protein (Position: A50-K663) was used as the immunogen for the TNS4 antibody.

Storage

After reconstitution, the TNS4 antibody can be stored for up to one month at 4oC. For long-term, aliquot and store at -20oC. Avoid repeated freezing and thawing.

Cross
Bulk Quote Request Form
Name*:
Organization*:
Email*:
Phone Number*:
Catalog No.*:
Comments and Specifics(amount, formulation, etc.)*:
Validation code: Captchapackage Image


Can't read the image? click here to refresh.
    *required field

Your bulk quote request has been submitted successfully!

Please contact us if you have any questions.