• Tel: 858.663.9055
  • SeparatorEmail: info@nsjbio.com
  • Tel: 858.663.9055
  • Email: info@nsjbio.com
Home >> Antibodies >> TNNT2 Antibody

TNNT2 Antibody (R36167)

  Catalog No Formulation Size Price (USD)  
Image R36167-100UG 0.5 mg/ml in 1X TBS, pH7.3, with 0.5% BSA (US sourced) and 0.02% sodium azide 100 ug 449
Bulk quote request
Western blot testing of human [A] and mouse [B] heart lysate with TNNT2 antibody at 0.1ug/ml
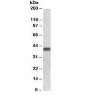
Western blot of pig heart lysate with TNNT2 antibody at 0.1ug/ml.
Availability 1-3 business days
Species Reactivity Human, Mouse, Pig
Predicted Reactivity Cat, Cow, Dog, Rat
Format Antigen affinity purified
Clonality Polyclonal (goat origin)
Isotype Goat Ig
Purity Antigen affinity
Gene ID 7139
Applications Western Blot : 0.1-0.3ug/ml
ELISA (peptide) LOD : 1:128000
Limitations This TNNT2 antibody is available for research use only.
Review this product on BioCompare and get a $20 Amazon gift card

Related Products

Description

Additional name(s) for this target protein: Troponin T type 2 (cardiac), TnTC, cTnT

Application Notes

Optimal dilution of the TNNT2 antibody should be determined by the researcher.

Immunogen

Amino acids TERKSGKRQTERE were used as the immunogen for this TNNT2 antibody.

Storage

Aliquot and store the TNNT2 antibody at -20oC.

Cross
Bulk Quote Request Form
Name*:
Organization*:
Email*:
Phone Number*:
Catalog No.*:
Comments and Specifics(amount, formulation, etc.)*:
Validation code: Captchapackage Image


Can't read the image? click here to refresh.
    *required field

Your bulk quote request has been submitted successfully!

Please contact us if you have any questions.