• Tel: 858.663.9055
  • SeparatorEmail: info@nsjbio.com
  • Tel: 858.663.9055
  • Email: info@nsjbio.com
Home >> Antibodies >> TNIK Antibody / Traf2 and Nck-interacting kinase

TNIK Antibody / Traf2 and Nck-interacting kinase (FY12143)

  Catalog No Formulation Size Price (USD)  
Image FY12143 Adding 0.2 ml of distilled water will yield a concentration of 500 ug/ml 100 ug 439
Bulk quote request
Immunohistochemical staining of TNIK using anti-TNIK antibody. TNIK was detected in a paraffin-embedded section of human cervix squamous cell carcinoma tissue. Heat mediated antigen retrieval was performed in EDTA buffer (pH 8.0, epitope retrieval solution). The tissue section was blocked with 10% goat serum. The tissue section was then incubated with 2 ug/ml rabbit anti-TNIK antibody overnight at 4oC. Peroxidase Conjugated Goat Anti-rabbit IgG was used as secondary antibody and incubated for 30 minutes at 37oC. The tissue section was developed using an HRP secondary and DAB substrate.
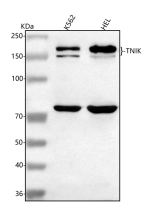
Western blot analysis of TNIK using anti-TNIK antibody. Lane 1: human K562 whole cell lysates, Lane 2: human HEL whole cell lysates. After electrophoresis, proteins were transferred to a nitrocellulose membrane at 150 mA for 50-90 minutes. Blocked the membrane with 5% non-fat milk/TBS for 1.5 hour at RT. The membrane was incubated with rabbit anti-TNIK antibody at 0.5 ug/ml overnight at 4oC, then washed with TBS-0.1%Tween 3 times with 5 minutes each and probed with a goat anti-rabbit IgG-HRP secondary antibody at a dilution of 1:5000 for 1.5 hour at RT. The signal was developed using enhanced chemiluminescent. The expected band size for TNIK is at 155 kDa and ~180 kD (phosphorylated/active form). A 70–80 kDa band may be observed and may represent a TNIK cleavage product generated under apoptotic or stress conditions.
Immunohistochemical staining of TNIK using anti-TNIK antibody. TNIK was detected in a paraffin-embedded section of human cervix squamous cell carcinoma tissue. Heat mediated antigen retrieval was performed in EDTA buffer (pH 8.0, epitope retrieval solution). The tissue section was blocked with 10% goat serum. The tissue section was then incubated with 2 ug/ml rabbit anti-TNIK antibody overnight at 4oC. Peroxidase Conjugated Goat Anti-rabbit IgG was used as secondary antibody and incubated for 30 minutes at 37oC. The tissue section was developed using an HRP secondary and DAB substrate.
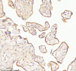
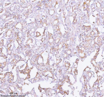
Immunohistochemical staining of TNIK using anti-TNIK antibody. TNIK was detected in a paraffin-embedded section of human placenta tissue. Heat mediated antigen retrieval was performed in EDTA buffer (pH 8.0, epitope retrieval solution). The tissue section was blocked with 10% goat serum. The tissue section was then incubated with 2 ug/ml rabbit anti-TNIK antibody overnight at 4oC. Peroxidase Conjugated Goat Anti-rabbit IgG was used as secondary antibody and incubated for 30 minutes at 37oC. The tissue section was developed using an HRP secondary and DAB substrate.
Immunohistochemical staining of TNIK using anti-TNIK antibody. TNIK was detected in a paraffin-embedded section of human placenta tissue. Heat mediated antigen retrieval was performed in EDTA buffer (pH 8.0, epitope retrieval solution). The tissue section was blocked with 10% goat serum. The tissue section was then incubated with 2 ug/ml rabbit anti-TNIK antibody overnight at 4oC. Peroxidase Conjugated Goat Anti-rabbit IgG was used as secondary antibody and incubated for 30 minutes at 37oC. The tissue section was developed using an HRP secondary and DAB substrate.
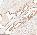
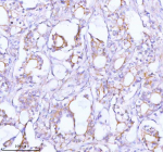
Immunohistochemical staining of TNIK using anti-TNIK antibody. TNIK was detected in a paraffin-embedded section of human prostate adenocarcinoma tissue. Heat mediated antigen retrieval was performed in EDTA buffer (pH 8.0, epitope retrieval solution). The tissue section was blocked with 10% goat serum. The tissue section was then incubated with 2 ug/ml rabbit anti-TNIK antibody overnight at 4oC. Peroxidase Conjugated Goat Anti-rabbit IgG was used as secondary antibody and incubated for 30 minutes at 37oC. The tissue section was developed using an HRP secondary and DAB substrate.
Immunohistochemical staining of TNIK using anti-TNIK antibody. TNIK was detected in a paraffin-embedded section of human prostate adenocarcinoma tissue. Heat mediated antigen retrieval was performed in EDTA buffer (pH 8.0, epitope retrieval solution). The tissue section was blocked with 10% goat serum. The tissue section was then incubated with 2 ug/ml rabbit anti-TNIK antibody overnight at 4oC. Peroxidase Conjugated Goat Anti-rabbit IgG was used as secondary antibody and incubated for 30 minutes at 37oC. The tissue section was developed using an HRP secondary and DAB substrate.
Immunohistochemical staining of TNIK using anti-TNIK antibody. TNIK was detected in a paraffin-embedded section of human prostate adenocarcinoma tissue. Heat mediated antigen retrieval was performed in EDTA buffer (pH 8.0, epitope retrieval solution). The tissue section was blocked with 10% goat serum. The tissue section was then incubated with 2 ug/ml rabbit anti-TNIK antibody overnight at 4oC. Peroxidase Conjugated Goat Anti-rabbit IgG was used as secondary antibody and incubated for 30 minutes at 37oC. The tissue section was developed using an HRP secondary and DAB substrate.
Immunohistochemical staining of TNIK using anti-TNIK antibody. TNIK was detected in a paraffin-embedded section of human prostate adenocarcinoma tissue. Heat mediated antigen retrieval was performed in EDTA buffer (pH 8.0, epitope retrieval solution). The tissue section was blocked with 10% goat serum. The tissue section was then incubated with 2 ug/ml rabbit anti-TNIK antibody overnight at 4oC. Peroxidase Conjugated Goat Anti-rabbit IgG was used as secondary antibody and incubated for 30 minutes at 37oC. The tissue section was developed using an HRP secondary and DAB substrate.
Immunohistochemical staining of TNIK using anti-TNIK antibody. TNIK was detected in a paraffin-embedded section of human prostate adenocarcinoma tissue. Heat mediated antigen retrieval was performed in EDTA buffer (pH 8.0, epitope retrieval solution). The tissue section was blocked with 10% goat serum. The tissue section was then incubated with 2 ug/ml rabbit anti-TNIK antibody overnight at 4oC. Peroxidase Conjugated Goat Anti-rabbit IgG was used as secondary antibody and incubated for 30 minutes at 37oC. The tissue section was developed using an HRP secondary and DAB substrate.
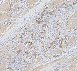
Immunohistochemical staining of TNIK using anti-TNIK antibody. TNIK was detected in a paraffin-embedded section of mouse brain tissue. Heat mediated antigen retrieval was performed in EDTA buffer (pH 8.0, epitope retrieval solution). The tissue section was blocked with 10% goat serum. The tissue section was then incubated with 2 ug/ml rabbit anti-TNIK antibody overnight at 4oC. Peroxidase Conjugated Goat Anti-rabbit IgG was used as secondary antibody and incubated for 30 minutes at 37oC. The tissue section was developed using an HRP secondary and DAB substrate.
Immunofluorescent staining of FFPE human PC3 cells with TNIK antibody (red) and DAPI nuclear stain (blue). HIER: steam section in pH6 citrate buffer for 20 min.
Flow cytometry analysis of fixed and permeabilized human K562 cells with TNIK antibody at 1ug/million cells (blocked with goat sera); Red=cells alone, Green=isotype control, Blue= TNIK antibody.
Availability 1-2 days
Species Reactivity Human, Mouse
Format Lyophilized
Clonality Polyclonal (rabbit origin)
Isotype Rabbit IgG
Purity Immunogen affinity purified
Buffer Each vial contains 4 mg Trehalose, 0.9 mg NaCl, 0.2 mg Na2HPO4.
UniProt Q9UKE5
Applications Western Blot : 0.25-0.5ug/ml
Immunohistochemistry : 2-5ug/ml
Immunocytochemistry : 5ug/ml
Immunofluorescence : 5ug/ml
Flow Cytometry : 1-3ug/million cells
ELISA : 0.1-0.5ug/ml
Limitations This TNIK antibody is available for research use only.
Review this product on BioCompare and get a $20 Amazon gift card

Description

TNIK antibody detects Traf2 and Nck-interacting kinase, encoded by the TNIK gene on chromosome 3q26.32. TNIK antibody is widely used to study this serine/threonine kinase of the germinal center kinase family, which integrates multiple signaling pathways regulating cytoskeletal organization, transcription, and cell fate. TNIK was originally identified as a binding partner of the TNF receptor adaptor Traf2 and the adaptor protein Nck, linking it to stress and growth factor pathways. It is expressed in many tissues, including brain, gastrointestinal tract, and immune cells, and plays key roles in neuronal development, cancer biology, and Wnt signaling.

Structurally, TNIK contains an N-terminal kinase domain, a coiled-coil domain, and a C-terminal citron homology domain. These regions enable TNIK to interact with multiple proteins, including beta-catenin, TCF4, and signaling adaptors. Its kinase domain phosphorylates downstream effectors that regulate actin cytoskeleton remodeling, while its scaffold domains recruit transcription factors and signaling molecules. This modular structure allows TNIK to act as both a kinase and adaptor, coordinating signaling complexes.

Functionally, TNIK is a central regulator of Wnt/beta-catenin signaling. It forms complexes with TCF4 and beta-catenin, phosphorylating transcriptional cofactors to drive expression of Wnt target genes. This activity is critical for stem cell maintenance, proliferation, and differentiation. TNIK also regulates actin cytoskeleton dynamics through Rho family GTPase signaling, influencing cell adhesion, migration, and polarity. In neurons, TNIK contributes to dendritic spine development, synaptic signaling, and memory formation. Knockout and knockdown studies reveal that TNIK deficiency impairs brain development and cognitive function.

Clinically, TNIK is strongly implicated in cancer. Overexpression is observed in colorectal, gastric, and hepatocellular carcinomas, where it sustains aberrant Wnt activity and tumor progression. Inhibiting TNIK suppresses tumor growth in preclinical models, making it a potential therapeutic target. TNIK has also been linked to psychiatric conditions, including schizophrenia, where altered expression and signaling affect neuronal pathways. Researchers rely on TNIK antibody to study its function in transcriptional regulation, cytoskeletal control, and disease progression.

Experimentally, TNIK antibody is used in western blotting to detect the ~160 kDa protein, in immunofluorescence to examine subcellular localization, and in immunohistochemistry to map tissue-specific expression. Co-immunoprecipitation with TNIK antibody identifies binding partners including beta-catenin and TCF4, confirming its role in Wnt transcriptional complexes. NSJ Bioreagents provides TNIK antibody to support research in cancer biology, neuroscience, and developmental signaling.

Application Notes

Optimal dilution of the TNIK antibody should be determined by the researcher.

Immunogen

E.coli-derived human TNIK recombinant protein (Position: H553-E886) was used as the immunogen for the TNIK antibody.

Storage

After reconstitution, the TNIK antibody can be stored for up to one month at 4oC. For long-term, aliquot and store at -20oC. Avoid repeated freezing and thawing.

Cross
Bulk Quote Request Form
Name*:
Organization*:
Email*:
Phone Number*:
Catalog No.*:
Comments and Specifics(amount, formulation, etc.)*:
Validation code: Captchapackage Image


Can't read the image? click here to refresh.
    *required field

Your bulk quote request has been submitted successfully!

Please contact us if you have any questions.