• Tel: 858.663.9055
  • SeparatorEmail: info@nsjbio.com
  • Tel: 858.663.9055
  • Email: info@nsjbio.com
Home >> Antibodies >> TNFRSF1A Antibody / TNF Receptor I / TNFR1

TNFRSF1A Antibody / TNF Receptor I / TNFR1 (RQ6809)

  Catalog No Formulation Size Price (USD)  
Image RQ6809 0.5mg/ml if reconstituted with 0.2ml sterile DI water 100 ug 439
Bulk quote request
Flow cytometry testing of human U937 cells with TNFRSF1A antibody at 1ug/million cells (blocked with goat sera); Red=cells alone, Green=isotype control, Blue= TNFRSF1A antibody.
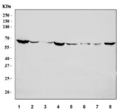
Western blot testing of 1) human HepG2, 2) human HCCT, 3) human HCCP, 4) human HeLa, 5) rat brain, 6) rat C6, 7) mouse brain and 8) mouse Neuro-2a cell lysate with TNFRSF1A antibody. Predicted molecular weight ~51 kDa.
Availability 1-3 business days
Species Reactivity Human, Mouse, Rat
Format Antigen affinity purified
Clonality Polyclonal (rabbit origin)
Isotype Rabbit IgG
Purity Antigen affinity purified
Buffer Lyophilized from 1X PBS with 2% Trehalose
UniProt P19438
Applications Western Blot : 1-2ug/ml
Flow Cytometry : 1-3ug/million cells
Direct ELISA : 0.1-0.5ug/ml
Limitations This TNFRSF1A antibody is available for research use only.
Review this product on BioCompare and get a $20 Amazon gift card

Related Products

Description

Tumor necrosis factor receptor superfamily member 1A (TNFRSF1A), also known as TNFR1, is a protein that in humans is encoded by the TNFRSF1A gene. The protein encoded by this gene is a member of the Tumor necrosis factor receptor superfamily, which also contains TNFRSF1B. The TNFR1 gene is mapped to 12pter-cen. It encodes a protein of 455 amino acids. And this receptor can activate the transcription factor NF-kB, mediate apoptosis, and function as a regulator of inflammation.

Application Notes

Optimal dilution of the TNFRSF1A antibody should be determined by the researcher.

Immunogen

Recombinant human protein (amino acids N336-A440) was used as the immunogen for the TNFRSF1A antibody.

Storage

After reconstitution, the TNFRSF1A antibody can be stored for up to one month at 4oC. For long-term, aliquot and store at -20oC. Avoid repeated freezing and thawing.

Cross
Bulk Quote Request Form
Name*:
Organization*:
Email*:
Phone Number*:
Catalog No.*:
Comments and Specifics(amount, formulation, etc.)*:
Validation code: Captchapackage Image


Can't read the image? click here to refresh.
    *required field

Your bulk quote request has been submitted successfully!

Please contact us if you have any questions.