• Tel: 858.663.9055
  • SeparatorEmail: info@nsjbio.com
  • Tel: 858.663.9055
  • Email: info@nsjbio.com
Home >> Antibodies >> TNFAIP8L3 Antibody

TNFAIP8L3 Antibody (R31381)

  Catalog No Formulation Size Price (USD)  
Image R31381 0.5mg/ml if reconstituted with 0.2ml sterile DI water 100 ug 439
Bulk quote request
Western blot testing of TNFAIP8L3 antibody and Lane 1: MCF-7; 2: SW620; 3: COS7; 4: SKOV; 5: Jurkat lysate. Predicted/observed size ~33KD
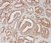
IHC-P: TNFAIP8L3 antibody testing of human breast cancer tissue
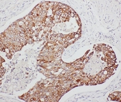
IHC-P: TNFAIP8L3 antibody testing of human intestinal cancer tissue
Availability 1-3 business days
Species Reactivity Human
Format Antigen affinity purified
Clonality Polyclonal (rabbit origin)
Isotype Rabbit IgG
Purity Antigen affinity
Buffer Lyophilized from 1X PBS with 2.5% BSA and 0.025% sodium azide/thimerosal
UniProt Q5GJ75
Applications Western Blot : 0.5-1ug/ml
IHC (FFPE) : 0.5-1ug/ml
Limitations This TNFAIP8L3 antibody is available for research use only.
Review this product on BioCompare and get a $20 Amazon gift card

Description

TNFAIP8L3 (TNF alpha-induced protein 8-like protein 3) belongs to the TNFAIP8 family. It acts as a negative mediator of apoptosis and may play a role in tumor progression. This gene suppresses the TNF-mediated apoptosis by inhibiting caspase-8 activity but not the processing of procaspase-8, subsequently resulting in inhibition of BID cleavage and caspase-3 activation.

Application Notes

The stated application concentrations are suggested starting amounts. Titration of the TNFAIP8L3 antibody may be required due to differences in protocols and secondary/substrate sensitivity.

Immunogen

An amino acid sequence from the C-terminus of human TNFAIP8L3 (RPNLKRICEGINKLLDEKVL) was used as the immunogen for this TNFAIP8L3 antibody.

Storage

After reconstitution, the TNFAIP8L3 antibody can be stored for up to one month at 4oC. For long-term, aliquot and store at -20oC. Avoid repeated freezing and thawing.

Cross
Bulk Quote Request Form
Name*:
Organization*:
Email*:
Phone Number*:
Catalog No.*:
Comments and Specifics(amount, formulation, etc.)*:
Validation code: Captchapackage Image


Can't read the image? click here to refresh.
    *required field

Your bulk quote request has been submitted successfully!

Please contact us if you have any questions.