• Tel: 858.663.9055
  • SeparatorEmail: info@nsjbio.com
  • Tel: 858.663.9055
  • Email: info@nsjbio.com
Home >> Antibodies >> TNFa Antibody / TNF alpha

TNFa Antibody / TNF alpha [clone TNF706] (V2903)

  Catalog No Formulation Size Price (USD)  
Image V2903-100UG 0.2 mg/ml in 1X PBS with 0.1 mg/ml BSA (US sourced) and 0.05% sodium azide 100 ug 539
Image
V2903-20UG 0.2 mg/ml in 1X PBS with 0.1 mg/ml BSA (US sourced) and 0.05% sodium azide 20 ug 249
Image
V2903SAF-100UG 1 mg/ml in 1X PBS; BSA free, sodium azide free 100 ug 539
Bulk quote request
Immunofluorescent staining of human HepG2 cells with TNFa antibody (green, clone TNF706) and Reddot nuclear stain (red).
IHC: Formalin-fixed, paraffin-embedded human Erdheim Chester disease (also known as polyostotic sclerosing histiocytosis) stained with TNFa antibody (clone TNF706).
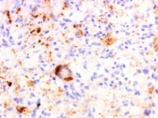
IHC: Formalin-fixed, paraffin-embedded rat pancreas stained with TNFa antibody (clone TNF706).
Availability 1-3 business days
Species Reactivity Human, Rat
Format Purified
Clonality Monoclonal (mouse origin)
Isotype Mouse IgM, kappa
Clone Name TNF706
Purity PEG precipitation
UniProt P01375
Localization Cytoplasmic and extracellular (secreted)
Applications Immunofluorescence : 1-2ug/ml
Immunohistochemistry (FFPE) : 2-4ug/ml for 30 min at RT
Limitations This TNFa antibody is available for research use only.
Review this product on BioCompare and get a $20 Amazon gift card

Related Products

Description

TNFa antibody clone TNF706 is a monoclonal antibody specific for tumor necrosis factor alpha, a central cytokine in inflammation and immune regulation. TNF-alpha is produced by activated macrophages, lymphocytes, and other immune cells, exerting effects on apoptosis, cell survival, and cytokine cascades. Its activity is crucial in infection and immunity but is also implicated in chronic inflammation and tumor biology. NSJ Bioreagents supplies this antibody for research across immunology, inflammation, and oncology.

The antibody produces strong staining in activated monocytes and macrophages. In immunology, it is a standard reagent for studying cytokine signaling, immune activation, and the molecular pathways driving inflammation. Its reproducibility makes it well suited for models of immune-mediated disease.

In autoimmune and chronic inflammatory disorders, TNF-alpha detection has provided valuable insight into disease mechanisms. The antibody has been used to explore cytokine dysregulation in conditions such as rheumatoid arthritis, inflammatory bowel disease, and psoriasis. Because TNF-alpha is a therapeutic target in these diseases, this antibody supports translational research into new treatment strategies.

In oncology, TNFa antibody clone TNF706 has been applied to studies of tumor microenvironments, where chronic inflammatory signaling can sustain malignant growth. TNF-alpha has a paradoxical role, promoting tumor necrosis in some contexts while enhancing angiogenesis and proliferation in others. Detecting its expression helps clarify the balance between anti-tumor and pro-tumor activities.

In infectious disease biology, TNF-alpha is a major effector of host defense. Detection with this antibody enables investigation into pathogen-induced cytokine release, septic shock, and immune dysregulation. It has been applied to research on bacterial and viral infections where cytokine storms drive pathology.

Validated in both tissue-based and cell-based systems, the antibody consistently produces specific staining with minimal background. Alternate names include tumor necrosis factor antibody, cachectin antibody, and proinflammatory cytokine TNF-alpha antibody.

Application Notes

Optimal dilution of the TNFa antibody should be determined by the researcher.

1. Staining of formalin-fixed tissues requires boiling tissue sections in 10mM Tris buffer with 1mM EDTA, pH 9, for 10-20 min followed by cooling at RT for 20 min.

Immunogen

An N-terminal recombinant protein fragment was used as the immunogen for the TNFa antibody.

Storage

Store the TNFa antibody at 2-8oC (with azide) or aliquot and store at -20oC or colder (without azide).

Cross
Bulk Quote Request Form
Name*:
Organization*:
Email*:
Phone Number*:
Catalog No.*:
Comments and Specifics(amount, formulation, etc.)*:
Validation code: Captchapackage Image


Can't read the image? click here to refresh.
    *required field

Your bulk quote request has been submitted successfully!

Please contact us if you have any questions.