• Tel: 858.663.9055
  • SeparatorEmail: info@nsjbio.com
  • Tel: 858.663.9055
  • Email: info@nsjbio.com
Home >> Antibodies >> TNF Receptor Antibody / TNFR1 / TNFRSF1A

TNF Receptor Antibody / TNFR1 / TNFRSF1A (RQ4614)

  Catalog No Formulation Size Price (USD)  
Image RQ4614 0.5mg/ml if reconstituted with 0.2ml sterile DI water 100 ug 439
Bulk quote request
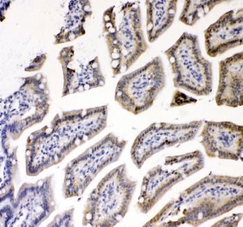
IHC staining of FFPE mouse colon tissue with TNF Receptor antibody. HIER: boil tissue sections in pH8 EDTA for 20 min and allow to cool before testing.
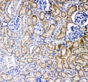
IHC staining of FFPE mouse kidney tissue with TNF Receptor antibody. HIER: boil tissue sections in pH8 EDTA for 20 min and allow to cool before testing.
Western blot testing of human 1) HeLa and 2) A549 cell lysate with TNF Receptor antibody. Predicted molecular weight ~51 kDa.
Western blot testing of 1) rat brain, 2) rat lung, 3) mouse brain and 4) mouse lung tissue lysate with TNF Receptor antibody. Predicted molecular weight ~51 kDa.
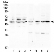
Western blot testing of 1) human HeLa, 2) human K562, 3) human Caco-2, 4) rat liver, 5) mouse small intestine, 6) mouse liver and 7) mouse HEPA1-6 lysate with TNF Receptor antibody at 0.5ug/ml. Predicted molecular weight ~51 kDa.
Availability 1-3 business days
Species Reactivity Human, Mouse, Rat
Format Antigen affinity purified
Clonality Polyclonal (rabbit origin)
Isotype Rabbit IgG
Purity Antigen affinity purified
Buffer Lyophilized from 1X PBS with 2% Trehalose and 0.025% sodium azide
UniProt P19438
Applications Western Blot : 0.5-1ug/ml
Immunohistochemistry (FFPE) : 2-5ug/ml
ELISA (Capture) : 1-5ug/ml (recombinant human protein)
Limitations This TNF Receptor antibody is available for research use only.
Review this product on BioCompare and get a $20 Amazon gift card

Related Products

Description

Tumor necrosis factor receptor superfamily member 1A (TNFRSF1A), also known as TNFR1, is a protein that in humans is encoded by the TNFRSF1A gene. The protein encoded by this gene is a member of the Tumor necrosis factor receptor superfamily, which also contains TNFRSF1B. The TNFR1 gene is mapped to 12pter-cen. It encodes a protein of 455 amino acids. And this receptor can activate the transcription factor NF-kB, mediate apoptosis, and function as a regulator of inflammation.

Application Notes

Optimal dilution of the TNF Receptor antibody should be determined by the researcher.

Immunogen

Amino acids I22-T211 from the human protein were used as the immunogen for the TNF Receptor antibody.

Storage

After reconstitution, the TNF Receptor antibody can be stored for up to one month at 4oC. For long-term, aliquot and store at -20oC. Avoid repeated freezing and thawing.

Cross
Bulk Quote Request Form
Name*:
Organization*:
Email*:
Phone Number*:
Catalog No.*:
Comments and Specifics(amount, formulation, etc.)*:
Validation code: Captchapackage Image


Can't read the image? click here to refresh.
    *required field

Your bulk quote request has been submitted successfully!

Please contact us if you have any questions.