• Tel: 858.663.9055
  • SeparatorEmail: info@nsjbio.com
  • Tel: 858.663.9055
  • Email: info@nsjbio.com
Home >> Antibodies >> TNF-alpha Antibody / TNFA

TNF-alpha Antibody / TNFA [clone TNFA/1172] (V2898)

  Catalog No Formulation Size Price (USD)  
Image V2898-100UG 0.2 mg/ml in 1X PBS with 0.1 mg/ml BSA (US sourced) and 0.05% sodium azide 100 ug 539
Image
V2898-20UG 0.2 mg/ml in 1X PBS with 0.1 mg/ml BSA (US sourced) and 0.05% sodium azide 20 ug 249
Image
V2898SAF-100UG 1 mg/ml in 1X PBS; BSA free, sodium azide free 100 ug 539
Image
V2898IHC-7ML Prediluted in 1X PBS with 0.1 mg/ml BSA (US sourced) and 0.05% sodium azide; *For IHC use only* 7 ml 539
Bulk quote request
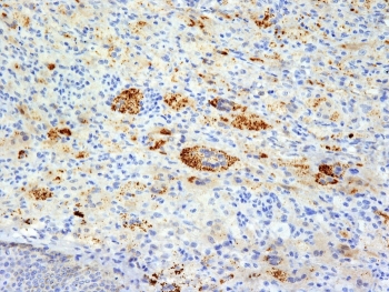
IHC: Formalin-fixed, paraffin-embedded human Erdheim Chester disease (also known as polyostotic lerosing histiocytosis) stained with TNF alpha antibody (clone TNFA/1172).
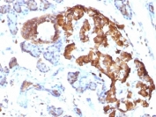
IHC staining of FFPE human pancreas with TNF alpha antibody (clone TNFA/1172).
IHC: Formalin-fixed, paraffin-embedded rat stomach stained with TNF alpha antibody (clone TNFA/1172).
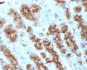
IHC: Formalin-fixed, paraffin-embedded rat pancreas stained with TNF alpha antibody (clone TNFA/1172).
Immunofluorescent staining of PFA-fixed human HepG2 cells with TNF-alpha antibody (green, clone TNFA/1172) and Reddot nuclear stain (red).
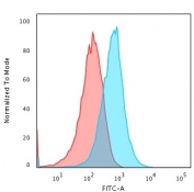
Flow cytometry testing of PFA-fixed human HepG2 cells with TNF-alpha antibody (clone TNFA/1172); Red=isotype control, Blue= TNF-alpha antibody.
Availability 1-3 business days
Species Reactivity Human, Rat
Format Purified
Clonality Monoclonal (mouse origin)
Isotype Mouse IgM, kappa
Clone Name TNFA/1172
Purity PEG precipitation
UniProt P01375
Localization Cytoplasmic and extracellular (secreted)
Applications Flow Cytometry : 1-2ug/10^6 cells
Immunofluorescence : 1-2ug/ml
Immunohistochemistry (FFPE) : 2-4ug/ml for 30 min at RT
Limitations This TNF-alpha antibody is available for research use only.
Review this product on BioCompare and get a $20 Amazon gift card

Related Products

Description

TNF-alpha antibody clone TNFA/1172 is a monoclonal antibody that detects tumor necrosis factor alpha, a proinflammatory cytokine produced by macrophages, T lymphocytes, and natural killer cells. TNF-alpha plays central roles in immune regulation, inflammation, apoptosis, and host defense. It is a key mediator of septic shock and chronic inflammatory conditions, while also influencing tumor biology. NSJ Bioreagents provides this antibody for immunology, oncology, and inflammation research.

The antibody produces strong cytoplasmic and extracellular staining in immune cells activated by infection or stress. In immunology, TNF-alpha detection is essential for studying cytokine networks and signaling pathways that orchestrate immune responses. The antibody enables precise monitoring of cytokine release in models of acute and chronic inflammation.

In pathology, TNF-alpha has long been studied as a driver of autoimmune and inflammatory diseases, including rheumatoid arthritis, Crohn disease, and psoriasis. This antibody supports investigations into cytokine dysregulation in these disorders and has been applied to preclinical research on cytokine-targeted therapies.

In oncology, TNF-alpha antibody clone TNFA/1172 has been used to study how inflammatory signaling contributes to tumor initiation, progression, and metastasis. TNF-alpha can promote tumor necrosis under certain conditions but also fosters tumor growth by sustaining inflammation and angiogenesis. This dual role makes its detection important for tumor immunology and therapeutic research.

In infectious disease research, the antibody supports studies of bacterial and viral pathogens that trigger robust cytokine responses. TNF-alpha detection provides insights into cytokine storm syndromes and septic shock, where excessive signaling leads to systemic damage.

Validated across multiple assay platforms, the antibody consistently provides strong and specific detection. Alternate names include TNF antibody, cachectin antibody, and tumor necrosis factor cytokine antibody.

Application Notes

Optimal dilution of the TNF-alpha antibody should be determined by the researcher.

1. Staining of formalin-fixed tissues requires boiling tissue sections in pH 9 10mM Tris with 1mM EDTA for 10-20 min followed by cooling at RT for 20 min.
2. The prediluted format is supplied in a dropper bottle and is optimized for use in IHC. After epitope retrieval step (if required), drip mAb solution onto the tissue section and incubate at RT for 30 min.

Immunogen

Recombinant full-length human protein was used as the immunogen for the TNF-alpha antibody.

Storage

Store the TNF-alpha antibody at 2-8oC (with azide) or aliquot and store at -20oC or colder (without azide).

Cross
Bulk Quote Request Form
Name*:
Organization*:
Email*:
Phone Number*:
Catalog No.*:
Comments and Specifics(amount, formulation, etc.)*:
Validation code: Captchapackage Image


Can't read the image? click here to refresh.
    *required field

Your bulk quote request has been submitted successfully!

Please contact us if you have any questions.