• Tel: 858.663.9055
  • SeparatorEmail: info@nsjbio.com
  • Tel: 858.663.9055
  • Email: info@nsjbio.com
Home >> Antibodies >> TMPRSS3 Antibody

TMPRSS3 Antibody (RQ6158)

  Catalog No Formulation Size Price (USD)  
Image RQ6158 0.5mg/ml if reconstituted with 0.2ml sterile DI water 100 ug 439
Bulk quote request
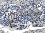
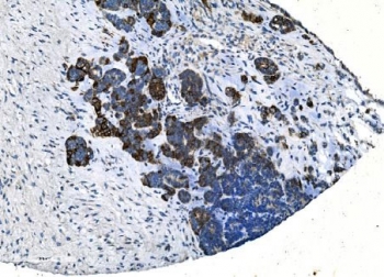
IHC staining of FFPE human ovarian cancer with TMPRSS3 antibody. HIER: boil tissue sections in pH8 EDTA for 20 min and allow to cool before testing.
IHC staining of FFPE human gastric cancer with TMPRSS3 antibody. HIER: boil tissue sections in pH8 EDTA for 20 min and allow to cool before testing.
IHC staining of FFPE mouse brain with TMPRSS3 antibody. HIER: boil tissue sections in pH8 EDTA for 20 min and allow to cool before testing.
IHC staining of FFPE rat brain with TMPRSS3 antibody. HIER: boil tissue sections in pH8 EDTA for 20 min and allow to cool before testing.
Western blot testing of 1) human MCF7, 2) human HepG2, 3) rat pancreas, 4) rat stomach, 5) rat PC-12, 6) mouse lung and 7) mouse RAW264.7 lysate with TMPRSS3 antibody. Predicted molecular weight ~48 kDa.
Flow cytometry testing of human A431 cells with TMPRSS3 antibody at 1ug/million cells (blocked with goat sera); Red=cells alone, Green=isotype control, Blue= TMPRSS3 antibody.
Availability 1-3 business days
Species Reactivity Human, Mouse, Rat
Format Antigen affinity purified
Clonality Polyclonal (rabbit origin)
Isotype Rabbit IgG
Purity Affinity purified
Buffer Lyophilized from 1X PBS with 2% Trehalose and 0.025% sodium azide
UniProt P57727
Applications Western Blot : 1-2ug/ml
Immunohistochemistry (FFPE) : 2-5ug/ml
Flow Cytometry : 1-3ug/million cells
Direct ELISA : 0.1-0.5ug/ml
Limitations This TMPRSS3 antibody is available for research use only.
Review this product on BioCompare and get a $20 Amazon gift card

Related Products

  • Applications : WB, ELISA (peptide)
    Reactivity : Human
    Pred. Reactivity : Mouse

Description

Transmembrane protease, serine 3 is an enzyme that in humans is encoded by the TMPRSS3 gene. This gene encodes a protein that belongs to the serine protease family. The encoded protein contains a serine protease domain, a transmembrane domain, an LDL receptor-like domain, and a scavenger receptor cysteine-rich domain. Serine proteases are known to be involved in a variety of biological processes, whose malfunction often leads to human diseases and disorders. This gene was identified by its association with both congenital and childhood onset autosomal recessive deafness. This gene is expressed in fetal cochlea and many other tissues, and is thought to be involved in the development and maintenance of the inner ear or the contents of the perilymph and endolymph. This gene was also identified as a tumor-associated gene that is overexpressed in ovarian tumors. Alternatively spliced transcript variants have been described.

Application Notes

Optimal dilution of the TMPRSS3 antibody should be determined by the researcher.

Immunogen

A human recombinant partial protein (amino acids E3-T454) was used as the immunogen for the TMPRSS3 antibody.

Storage

After reconstitution, the TMPRSS3 antibody can be stored for up to one month at 4oC. For long-term, aliquot and store at -20oC. Avoid repeated freezing and thawing.

Cross
Bulk Quote Request Form
Name*:
Organization*:
Email*:
Phone Number*:
Catalog No.*:
Comments and Specifics(amount, formulation, etc.)*:
Validation code: Captchapackage Image


Can't read the image? click here to refresh.
    *required field

Your bulk quote request has been submitted successfully!

Please contact us if you have any questions.