• Tel: 858.663.9055
  • SeparatorEmail: info@nsjbio.com
  • Tel: 858.663.9055
  • Email: info@nsjbio.com
Home >> Antibodies >> TMPRSS2 Antibody / Transmembrane protease serine 2

TMPRSS2 Antibody / Transmembrane protease serine 2 [clone TMPRSS2/7410] (V4850)

  Catalog No Formulation Size Price (USD)  
Image V4850-100UG 0.2 mg/ml in 1X PBS with 0.1 mg/ml BSA (US sourced), 0.05% sodium azide 100 ug 539
Image
V4850-20UG 0.2 mg/ml in 1X PBS with 0.1 mg/ml BSA (US sourced), 0.05% sodium azide 20 ug 249
Image
V4850SAF-100UG 1 mg/ml in 1X PBS; BSA free, sodium azide free 100 ug 539
Bulk quote request
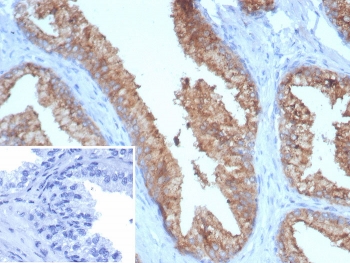
IHC staining of FFPE human prostate tissue with TMPRSS2 antibody (clone TMPRSS2/7410). Inset: PBS used in place of primary Ab (secondary Ab negative control). HIER: boil tissue sections in pH 9 10mM Tris with 1mM EDTA for 20 min and allow to cool before testing.
SDS-PAGE analysis of purified, BSA-free TMPRSS2 antibody (clone TMPRSS2/7410) as confirmation of integrity and purity.
Availability 1-3 business days
Species Reactivity Human
Format Purified
Clonality Monoclonal (mouse origin)
Isotype Mouse IgG2b, kappa
Clone Name TMPRSS2/7410
Purity Protein A/G affinity
UniProt O15393
Localization Secreted, Cell Surface
Applications Immunohistochemistry (FFPE) : 1-2ug/ml for 30 min at RT
Limitations This TMPRSS2 antibody is available for research use only.
Review this product on BioCompare and get a $20 Amazon gift card

Related Products

Description

Extracellular proteases mediate the digestion of neighboring extracellular matrix components in initial tumor growth, allow desquamation of tumor cells into the surrounding environment, provide the basis for invasion of basement membranes in targeted metastatic organs and are required for release and activation of many growth and angiogenic factors. The TMPRSS2 gene encodes a 492 amino acid multimeric serine protease, which is mainly expressed in the mouse prostate and kidney, and is also expressed in the human small intestine, prostate, colon, stomach and salivary gland. TMPRSS2 contains several domains, including a serine protease domain of the S1 family, a scavenger receptor cysteine-rich domain of group A, an LDL receptor class A domain and a transmembrane domain. TMPRSS2 is expressed as a full length form and a cleaved protease domain and its expression is increased by androgenic hormones. TMPRSS2 is also expressed in prostate carcinoma, suggesting that it may play a role in prostate carcinogenesis.

Application Notes

Optimal dilution of the TMPRSS2 antibody should be determined by the researcher.

Immunogen

Recombinant full-length human TMPRSS2 protein was used as the immunogen for the TMPRSS2 antibody.

Storage

Aliquot the TMPRSS2 antibody and store frozen at -20oC or colder. Avoid repeated freeze-thaw cycles.

Cross
Bulk Quote Request Form
Name*:
Organization*:
Email*:
Phone Number*:
Catalog No.*:
Comments and Specifics(amount, formulation, etc.)*:
Validation code: Captchapackage Image


Can't read the image? click here to refresh.
    *required field

Your bulk quote request has been submitted successfully!

Please contact us if you have any questions.