• Tel: 858.663.9055
  • SeparatorEmail: info@nsjbio.com
  • Tel: 858.663.9055
  • Email: info@nsjbio.com
Home >> Antibodies >> TMEPAI Antibody / PMEPA1

TMEPAI Antibody / PMEPA1 [clone PMEPA1/2698] (V7329)

  Catalog No Formulation Size Price (USD)  
Image V7329-100UG 0.2 mg/ml in 1X PBS with 0.1 mg/ml BSA (US sourced) and 0.05% sodium azide 100 ug 539
Image
V7329-20UG 0.2 mg/ml in 1X PBS with 0.1 mg/ml BSA (US sourced) and 0.05% sodium azide 20 ug 249
Image
V7329SAF-100UG 1 mg/ml in 1X PBS; BSA free, sodium azide free 100 ug 539
Image
V7329IHC-7ML Prediluted in 1X PBS with 0.1 mg/ml BSA (US sourced) and 0.05% sodium azide; *For IHC use only* 7 ml 539
Microvalidated
Bulk quote request
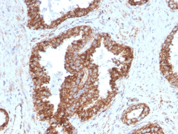
IHC staining of FFPE human prostate carcinoma with TMEPAI antibody (clone PMEPA1/2698). HIER: boil tissue sections in pH6, 10mM citrate buffer, for 10-20 min and allow to cool before testing.
Analysis of HuProt(TM) microarray containing more than 19,000 full-length human proteins using TMEPAI antibody (clone PMEPA1/2698). These results demonstrate the foremost specificity of the PMEPA1/2698 mAb.
Z- and S- score: The Z-score represents the strength of a signal that an antibody (in combination with a fluorescently-tagged anti-IgG secondary Ab) produces when binding to a particular protein on the HuProt(TM) array. Z-scores are described in units of standard deviations (SD's) above the mean value of all signals generated on that array. If the targets on the HuProt(TM) are arranged in descending order of the Z-score, the S-score is the difference (also in units of SD's) between the Z-scores. The S-score therefore represents the relative target specificity of an Ab to its intended target.
SDS-PAGE analysis of purified, BSA-free TMEPAI antibody (clone PMEPA1/2698) as confirmation of integrity and purity.
Availability 1-3 business days
Species Reactivity Human
Format Purified
Clonality Monoclonal (mouse origin)
Isotype Mouse IgG1, kappa
Clone Name PMEPA1/2698
Purity Protein G affinity chromatography
UniProt Q969W9
Localization Cell surface, cytoplasm
Applications Immunohistochemistry (FFPE) : 1-2ug/ml for 30 min at RT
Limitations This TMEPAI antibody is available for research use only.
Review this product on BioCompare and get a $20 Amazon gift card

Related Products

Description

PMEPA1 (prostate transmembrane protein, androgen induced 1), or TMEPAI (Transmembrane prostate androgen induced protein) is a 287 amino acid single-pass membrane protein that contains WW-binding motifs and localizes to the cell membrane. Expressed at high levels in prostate, kidney and ovary, PMEPA1/TMEPAI interacts with NEDD4 and may play a role in regulating AR (androgen receptor) levels, specifically in prostate cells. Down regulation of TMEPAI is observed in prostate tumors, suggesting that TMEPAI may exhibit activity as a tumor suppressor. Overexpression of this protein may play a role in multiple types of cancer.

Application Notes

Optimal dilution of the TMEPAI antibody should be determined by the researcher.

1. The prediluted format is supplied in a dropper bottle and is optimized for use in IHC. After epitope retrieval step (if required), drip mAb solution onto the tissue section and incubate at RT for 30 min.

Immunogen

Full-length recombinant human protein was used as the immunogen for the TMEPAI antibody.

Storage

Store the TMEPAI antibody at 2-8oC (with azide) or aliquot and store at -20oC or colder (without azide).

Cross
Bulk Quote Request Form
Name*:
Organization*:
Email*:
Phone Number*:
Catalog No.*:
Comments and Specifics(amount, formulation, etc.)*:
Validation code: Captchapackage Image


Can't read the image? click here to refresh.
    *required field

Your bulk quote request has been submitted successfully!

Please contact us if you have any questions.