• Tel: 858.663.9055
  • SeparatorEmail: info@nsjbio.com
  • Tel: 858.663.9055
  • Email: info@nsjbio.com
Home >> Antibodies >> TMC7 Antibody / Transmembrane channel-like protein 7

TMC7 Antibody / Transmembrane channel-like protein 7 (RQ7558)

  Catalog No Formulation Size Price (USD)  
Image RQ7558 0.5mg/ml if reconstituted with 0.2ml sterile DI water 100 ug 439
Bulk quote request
Immunofluorescent staining of FFPE human intestinal cancer with TMC7 antibody (red) and DAPI nuclear stain (blue). HIER: steam section in pH8 EDTA buffer for 20 min.
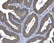
IHC staining of FFPE human colorectal adenocarcinoma tissue with TMC7 antibody. HIER: boil tissue sections in pH8 EDTA for 20 min and allow to cool before testing.
IHC staining of FFPE human liver cancer tissue with TMC7 antibody. HIER: boil tissue sections in pH8 EDTA for 20 min and allow to cool before testing.
Western blot testing of 1) human HaCaT, 2) human HepG2, 3) human U-87 MG, 4) rat testis, 5) rat C6 and 6) mouse RAW264.7 cell lysate with TMC7 antibody. Predicted molecular weight ~84 kDa but may be observed at higher molecular weights due to glycosylation.
Flow cytometry testing of human SiHa cells with TMC7 antibody at 1ug/million cells (blocked with goat sera); Red=cells alone, Green=isotype control, Blue= TMC7 antibody.
Availability 1-3 business days
Species Reactivity Human, Mouse, Rat
Format Antigen affinity purified
Clonality Polyclonal (rabbit origin)
Isotype Rabbit IgG
Purity Antigen affinity purified
Buffer Lyophilized from 1X PBS with 2% Trehalose
UniProt Q7Z402
Applications Western Blot : 0.5-1ug/ml
Immunohistochemistry (FFPE) : 2-5ug/ml
Flow Cytometry : 1-3ug/million cells
Immunofluorescence : 5ug/ml
Direct ELISA : 0.1-0.5ug/ml
Limitations This TMC7 antibody is available for research use only.
Review this product on BioCompare and get a $20 Amazon gift card

Description

Predicted to enable mechanosensitive ion channel activity. Predicted to be involved in ion transmembrane transport. Predicted to be integral component of plasma membrane.

Application Notes

Optimal dilution of the TMC7 antibody should be determined by the researcher.

Immunogen

E. coli-derived recombinant human protein (amino acids A8-N723) was used as the immunogen for the TMC7 antibody.

Storage

After reconstitution, the TMC7 antibody can be stored for up to one month at 4oC. For long-term, aliquot and store at -20oC. Avoid repeated freezing and thawing.

Cross
Bulk Quote Request Form
Name*:
Organization*:
Email*:
Phone Number*:
Catalog No.*:
Comments and Specifics(amount, formulation, etc.)*:
Validation code: Captchapackage Image


Can't read the image? click here to refresh.
    *required field

Your bulk quote request has been submitted successfully!

Please contact us if you have any questions.