• Tel: 858.663.9055
  • SeparatorEmail: info@nsjbio.com
  • Tel: 858.663.9055
  • Email: info@nsjbio.com
Home >> Antibodies >> TLR9 Antibody

TLR9 Antibody (RQ7107)

  Catalog No Formulation Size Price (USD)  
Image RQ7107 0.5mg/ml if reconstituted with 0.2ml sterile DI water 100 ug 439
Bulk quote request
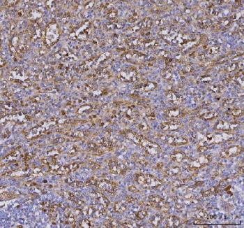
IHC staining of FFPE human spleen tissue with TLR9 antibody. HIER: boil tissue sections in pH8 EDTA for 20 min and allow to cool before testing.
Western blot testing of 1) human Jurkat, 2) human Raji, 3) human Daudi, 4) human MOLT4 and 5) rat thymus tissue lysate with TLR9 antibody. Predicted molecular weight 110 kDa-116 kDa (multiple isoforms).
Availability 1-3 business days
Species Reactivity Human, Rat
Format Antigen affinity purified
Clonality Polyclonal (rabbit origin)
Isotype Rabbit IgG
Purity Antigen affinity purified
Buffer Lyophilized from 1X PBS with 2% Trehalose
UniProt Q9NR96
Applications Western Blot : 0.5-1ug/ml
Immunohistochemistry (FFPE) : 2-5ug/ml
Limitations This TLR9 antibody is available for research use only.
Review this product on BioCompare and get a $20 Amazon gift card

Related Products

  • Applications : WB, FACS, IHC-P
    Reactivity : Human, Mouse
  • Applications : WB, FACS, ELISA
    Reactivity : Human

Description

Toll-like receptor 9 is a protein that in humans is encoded by the TLR9 gene. The protein encoded by this gene is a member of the Toll-like receptor (TLR) family, which plays a fundamental role in pathogen recognition and activation of innate immunity. TLRs are highly conserved from Drosophila to humans and share structural and functional similarities. They recognize pathogen-associated molecular patterns (PAMPs) that are expressed on infectious agents, and mediate the production of cytokines necessary for the development of effective immunity. Studies in mice and human indicate that this receptor mediates cellular response to unmethylated CpG dinucleotides in bacterial DNA to mount an innate immune response.

Application Notes

Optimal dilution of the TLR9 antibody should be determined by the researcher.

Immunogen

Amino acids SRKTLFVLAHTDRVSGLLRASFLLAQQRLLEDRKD were used as the immunogen for the TLR9 antibody.

Storage

After reconstitution, the TLR9 antibody can be stored for up to one month at 4oC. For long-term, aliquot and store at -20oC. Avoid repeated freezing and thawing.

Cross
Bulk Quote Request Form
Name*:
Organization*:
Email*:
Phone Number*:
Catalog No.*:
Comments and Specifics(amount, formulation, etc.)*:
Validation code: Captchapackage Image


Can't read the image? click here to refresh.
    *required field

Your bulk quote request has been submitted successfully!

Please contact us if you have any questions.