• Tel: 858.663.9055
  • SeparatorEmail: info@nsjbio.com
  • Tel: 858.663.9055
  • Email: info@nsjbio.com
Home >> Antibodies >> TLR7 Antibody

TLR7 Antibody [clone 3F11-2C9-D8] (F54019)

  Catalog No Formulation Size Price (USD)  
Image F54019-0.1ML In PBS with 50% glycerol and 0.03% ProClin 300 0.1 ml 429
Bulk quote request
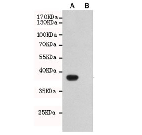
Western blot testing of A) CHO-K1 cells transfected with a partial TLR7 protein and B) untransfected CHO-K1 cell lysate using TLR7 antibody at 1:2000. Expected size of the partial protein ~40 kDa.
Availability 1-3 business days
Species Reactivity Human
Format Purified
Clonality Monoclonal (mouse origin)
Isotype Mouse IgG1
Clone Name 3F11-2C9-D8
Purity Protein G affinity
UniProt Q9NYK1
Applications Western Blot : 1:1000
Limitations This TLR7 antibody is available for research use only.
Review this product on BioCompare and get a $20 Amazon gift card

Related Products

  • Applications : WB, IHC-P
    Reactivity : Human, Rat, Mouse
  • Applications : WB, ELISA
    Reactivity : Human
    Pred. Reactivity : Mouse
  • Applications : WB, IHC, ELISA
    Reactivity : Human, Mouse
  • Applications : WB, IHC-P, IHC-F, ICC, FACS
    Reactivity : Human, Mouse, Rat

Description

Key component of innate and adaptive immunity. TLRs (Toll-like receptors) control host immune response against pathogens through recognition of molecular patterns specific to microorganisms. TLR7 is a nucleotide-sensing TLR which is activated by single-stranded RNA. Acts via MYD88 and TRAF6, leading to NF-kappa-B activation, cytokine secretion and the inflammatory response. [UniProt]

Application Notes

The stated application concentrations are suggested starting points. Titration of the TLR7 antibody may be required due to differences in protocols and secondary/substrate sensitivity.

Immunogen

A human recombinant partial protein was used as the immunogen for this TLR7 antibody.

Storage

Store the TLR7 antibody at -20oC.

Cross
Bulk Quote Request Form
Name*:
Organization*:
Email*:
Phone Number*:
Catalog No.*:
Comments and Specifics(amount, formulation, etc.)*:
Validation code: Captchapackage Image


Can't read the image? click here to refresh.
    *required field

Your bulk quote request has been submitted successfully!

Please contact us if you have any questions.