• Tel: 858.663.9055
  • SeparatorEmail: info@nsjbio.com
  • Tel: 858.663.9055
  • Email: info@nsjbio.com
Home >> Antibodies >> TLR6 Antibody

TLR6 Antibody (F44377)

  Catalog No Formulation Size Price (USD)  
Image F44377-0.4ML In 1X PBS, pH 7.4, with 0.09% sodium azide 0.4 ml 429
Image
F44377-0.08ML In 1X PBS, pH 7.4, with 0.09% sodium azide 0.08 ml 199
Bulk quote request
TLR6 antibody western blot analysis in MCF-7 lysate
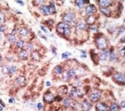
IHC analysis of FFPE human hepatocarcinoma tissue stained with the TLR6 antibody
Availability 1-3 business days
Species Reactivity Human, Mouse
Format Purified
Clonality Polyclonal (rabbit origin)
Isotype Rabbit Ig
Purity Purified
UniProt Q9EPW9
Applications IHC (Paraffin) : 1:50-1:100
Western Blot : 1:1000
Limitations This TLR6 antibody is available for research use only.
Review this product on BioCompare and get a $20 Amazon gift card

Related Products

  • Applications : FACS, WB, IHC, ELISA
    Reactivity : Human
  • Applications : WB, IHC, ELISA
    Reactivity : Human, Mouse
  • Applications : WB, FACS, Direct ELISA
    Reactivity : Mouse, Rat

Description

TLR6 participates in the innate immune response to Gram-positive bacteria and fungi. Specifically recognizes diacylated and, to a lesser extent, triacylated lipopeptides. Acts via MYD88 and TRAF6, leading to NF-kappa-B activation, cytokine secretion and the inflammatory response. Cooperates with TLR2 for the cellular activation. In complex with TLR4, promotes sterile inflammation in monocytes/macrophages in response to oxidized low-density lipoprotein (oxLDL) or amyloid-beta 42. In this context, the initial signal is provided by oxLDL- or amyloid-beta 42-binding to CD36. This event induces the formation of a heterodimer of TLR4 and TLR6, which is rapidly internalized and triggers inflammatory response, leading to the NF-kappa-B-dependent production of CXCL1, CXCL2 and CCL9 cytokines, via MYD88 signaling pathway, and CCL5 cytokine, via TICAM1 signaling pathway, as well as IL1B secretion. [UniProt]

Application Notes

Titration of the TLR6 antibody may be required due to differences in protocols and secondary/substrate sensitivity.

Immunogen

A portion of amino acids 1-30 from the mouse protein was used as the immunogen for this TLR6 antibody.

Storage

Aliquot the TLR6 antibody and store frozen at -20oC or colder. Avoid repeated freeze-thaw cycles.

Cross
Bulk Quote Request Form
Name*:
Organization*:
Email*:
Phone Number*:
Catalog No.*:
Comments and Specifics(amount, formulation, etc.)*:
Validation code: Captchapackage Image


Can't read the image? click here to refresh.
    *required field

Your bulk quote request has been submitted successfully!

Please contact us if you have any questions.