• Tel: 858.663.9055
  • SeparatorEmail: info@nsjbio.com
  • Tel: 858.663.9055
  • Email: info@nsjbio.com
Home >> Antibodies >> TL1A Antibody / TNFSF15 / VEGI

TL1A Antibody / TNFSF15 / VEGI (RQ4107)

  Catalog No Formulation Size Price (USD)  
Image RQ4107 0.5mg/ml if reconstituted with 0.2ml sterile DI water 100 ug 439
Bulk quote request
Western blot testing of 1) rat liver, 2) rat kidney and 3) mouse kidney lysate with TL1A antibody at 0.5ug/ml. Predicted molecular weight ~28 kDa.
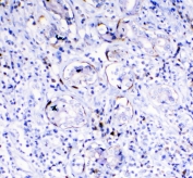
IHC testing of FFPE human lung cancer with TL1A antibody. HIER: boil tissue sections in pH6, 10mM citrate buffer, for 10-20 min followed by cooling at RT for 20 min.
IHC testing of FFPE human lung cancer with TL1A antibody. HIER: boil tissue sections in pH6, 10mM citrate buffer, for 10-20 min followed by cooling at RT for 20 min.
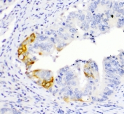
IHC testing of FFPE human intestinal cancer with TL1A antibody. HIER: boil tissue sections in pH6, 10mM citrate buffer, for 10-20 min followed by cooling at RT for 20 min.
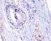
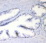
IHC testing of FFPE human prostate cancer with TL1A antibody. HIER: boil tissue sections in pH6, 10mM citrate buffer, for 10-20 min followed by cooling at RT for 20 min.
Availability 1-3 business days
Species Reactivity Human, Mouse, Rat
Predicted Reactivity Human
Format Antigen affinity purified
Clonality Polyclonal (rabbit origin)
Isotype Rabbit IgG
Purity Antigen affinity purified
Buffer Lyophilized from 1X PBS with 2% Trehalose and 0.025% sodium azide
UniProt O95150
Applications Western Blot : 0.5-1ug/ml (Mouse; Rat)
IHC (FFPE) : 1-2ug/ml (Human)
ELISA (Capture) : 0.1-0.5ug/ml (Human)
Limitations This TL1A antibody is available for research use only.
Review this product on BioCompare and get a $20 Amazon gift card

Related Products

Description

Vascular endothelial growth inhibitor (VEGI), also known as TNF-like ligand 1A (TL1A) and TNF superfamily member 15 (TNFSF15), is protein that in humans is encoded by the TNFSF15 gene. The protein encoded by this gene is a cytokine that belongs to the tumor necrosis factor (TNF) ligand family. This protein is abundantly expressed in endothelial cells, but is not expressed in either B or T cells. The expression of this protein is inducible by TNF and IL-1 alpha. This cytokine is a ligand for receptor TNFRSF25 and decoy receptor TNFRSF21/DR6. It can activate NF-kappaB and MAP kinases, and acts as an autocrine factor to induce apoptosis in endothelial cells. This cytokine is also found to inhibit endothelial cell proliferation, and thus may function as an angiogenesis inhibitor. Two transcript variants encoding different isoforms have been found for this gene.

Application Notes

Optimal dilution of the TL1A antibody should be determined by the researcher.

Immunogen

A recombinant human partial protein corresponding to amino acids L72-T244 was used as the immunogen for the TL1A antibody.

Storage

After reconstitution, the TL1A antibody can be stored for up to one month at 4oC. For long-term, aliquot and store at -20oC. Avoid repeated freezing and thawing.

Cross
Bulk Quote Request Form
Name*:
Organization*:
Email*:
Phone Number*:
Catalog No.*:
Comments and Specifics(amount, formulation, etc.)*:
Validation code: Captchapackage Image


Can't read the image? click here to refresh.
    *required field

Your bulk quote request has been submitted successfully!

Please contact us if you have any questions.