• Tel: 858.663.9055
  • SeparatorEmail: info@nsjbio.com
  • Tel: 858.663.9055
  • Email: info@nsjbio.com
Home >> Antibodies >> TJP2 Antibody / ZO-2

TJP2 Antibody / ZO-2 (R31077)

  Catalog No Formulation Size Price (USD)  
Image R31077 0.5mg/ml if reconstituted with 0.2ml sterile DI water 100 ug 439
Bulk quote request
IHC staining of FFPE mouse liver tissue with TJP2 antibody. HIER: boil tissue sections in pH8 EDTA for 20 min and allow to cool before testing.
IHC staining of FFPE rat liver tissue with TJP2 antibody. HIER: boil tissue sections in pH8 EDTA for 20 min and allow to cool before testing.
Immunofluorescent staining of FFPE human U-2 OS cells with TJP2 antibody (green) and DAPI nuclear stain (blue). HIER: steam section in pH6 citrate buffer for 20 min.
Western blot testing of 1) human RT4, 2) human A431, 3) human HepG2, 4) human MCF7, 5) human U-2 OS, 6) human HeLa, 7) human PC-3, 8) rat RH35 and 9) mouse HEPA1-6 cell lysate with TJP2 antibody. Expected molecular weight: 131-160 kDa.
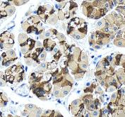
IHC staining of FFPE human stomach tissue with TJP2 antibody, HRP-secondary and DAB substrate. HIER: boil tissue sections in pH8 EDTA for 20 min and allow to cool before testing.
IHC staining of FFPE human stomach tissue with TJP2 antibody, HRP-secondary and DAB substrate. HIER: boil tissue sections in pH8 EDTA for 20 min and allow to cool before testing.
IHC staining of FFPE human stomach tissue with TJP2 antibody, HRP-secondary and DAB substrate. HIER: boil tissue sections in pH8 EDTA for 20 min and allow to cool before testing.
Availability 1-3 business days
Species Reactivity Human, Mouse, Rat
Format Antigen affinity purified
Clonality Polyclonal (rabbit origin)
Isotype Rabbit IgG
Purity Antigen affinity
Buffer Lyophilized from 1X PBS with 2.5% BSA and 0.025% sodium azide/thimerosal
UniProt Q9Z0U1
Applications Western Blot : 0.5-1ug/ml
Immunohistochemistry (FFPE) : 2-5ug/ml
Immunofluorescence : 5ug/ml
Limitations This TJP2 antibody is available for research use only.
Review this product on BioCompare and get a $20 Amazon gift card

Related Products

Description

TJP2 (Tight Junction Protein 2), also called ZO-2 (Zonula occludens protein 2), is a scaffolding protein that plays a key role in the assembly and maintenance of tight junctions, which regulate paracellular permeability and maintain epithelial and endothelial barrier integrity. TJP2 contains multiple PDZ domains, enabling it to link transmembrane tight junction proteins to the actin cytoskeleton and signaling pathways involved in cell polarity and tissue organization.

Widely expressed in epithelial and endothelial tissues, TJP2 contributes to the structural and functional stability of intercellular junctions. Its expression is often examined in studies of barrier function, cell–cell adhesion, and tissue morphogenesis, as well as in model systems investigating the molecular composition of tight junction complexes.

The TJP2 antibody is a reliable tool for detecting endogenous TJP2 in applications such as western blot, immunohistochemistry, and immunofluorescence. Researchers use the TJP2 antibody from NSJ Bioreagents to measure protein levels, analyze subcellular localization at cell junctions, and monitor changes in tight junction structure under defined experimental conditions. With high specificity and consistent performance, the TJP2 antibody supports detailed investigations into epithelial and endothelial barrier biology.

Application Notes

The stated application concentrations are suggested starting amounts. Titration of the TJP2 antibody may be required due to differences in protocols and secondary/substrate sensitivity.

Immunogen

An amino acid sequence from the C-terminus of mouse Tight Junction Protein 2 (AHSKRGYYSQPSRYRDTEL) was used as the immunogen for this TJP2 antibody (100% rat homology).

Storage

After reconstitution, the TJP2 antibody can be stored for up to one month at 4oC. For long-term, aliquot and store at -20oC. Avoid repeated freezing and thawing.

Cross
Bulk Quote Request Form
Name*:
Organization*:
Email*:
Phone Number*:
Catalog No.*:
Comments and Specifics(amount, formulation, etc.)*:
Validation code: Captchapackage Image


Can't read the image? click here to refresh.
    *required field

Your bulk quote request has been submitted successfully!

Please contact us if you have any questions.