• Tel: 858.663.9055
  • SeparatorEmail: info@nsjbio.com
  • Tel: 858.663.9055
  • Email: info@nsjbio.com
Home >> Antibodies >> Tissue factor pathway inhibitor 2 Antibody / TFPI2

Tissue factor pathway inhibitor 2 Antibody / TFPI2 [clone TFPI2/13027] (V5813)

  Catalog No Formulation Size Price (USD)  
Image V5813-100UG 0.2 mg/ml in 1X PBS with 0.1 mg/ml BSA (US sourced), 0.05% sodium azide 100 ug 539
Image
V5813-20UG 0.2 mg/ml in 1X PBS with 0.1 mg/ml BSA (US sourced), 0.05% sodium azide 20 ug 249
Image
V5813SAF-100UG 1 mg/ml in 1X PBS; BSA free, sodium azide free 100 ug 539
Bulk quote request
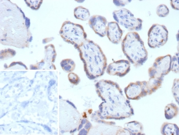
IHC staining of FFPE human placental tissue with Tissue factor pathway inhibitor 2 antibody (clone TFPI2/13027). Inset: PBS used in place of primary Ab (secondary Ab negative control). HIER: boil tissue sections in pH 9 10mM Tris with 1mM EDTA for 20 min and allow to cool before testing.
Western blot testing of human placenta tissue lysate with Tissue factor pathway inhibitor 2 antibody (clone TFPI2/13027). Expected molecular weight: ~27 kDa (unmodified), 30-35 kDa (glycosylated).
SDS-PAGE analysis of purified, BSA-free Tissue factor pathway inhibitor 2 antibody (clone TFPI2/13027) as confirmation of integrity and purity.
Availability 1-3 business days
Species Reactivity Human
Format Purified
Clonality Monoclonal (mouse origin)
Isotype Mouse IgG1, kappa
Clone Name TFPI2/13027
Purity Protein G affinity
UniProt P48307
Localization Cell membrane, cytoplasm
Applications Immunohistochemistry (FFPE) : 1-2ug/ml
Western Blot : 2-4ug/ml
Limitations This Tissue factor pathway inhibitor 2 antibody is available for research use only.
Review this product on BioCompare and get a $20 Amazon gift card

Related Products

Description

The extrinsic pathway of blood coagulation is initiated by contact of plasma factor VII with tissue factor, a cellular membrane glycoprotein that normally is segregated from the bloodstream but can be exposed after tissue injury or newly synthesized in endothelial cells or leukocytes after stimulation by endotoxin and cytokines. Inhibition of Factor VIIa tissue factor activity requires a plasma component (tissue factor pathway inhibitor (TFPI), lipoprotein-associated coagulation inhibitor (LACI) or extrinsic pathway inhibitor (EPI)) and factor Xa. TFPI directly inhibits factor Xa, and, in an Xa-dependent fashion, also inhibits the Factor VIIa tissue factor catalytic complex. TFPI is a multivalent, Kunitz-type proteinase inhibitor that circulates in association with plasma lipoproteins VLDL, LDL, and HDL. TFPI-2 (also known as placental protein 5) is a related glycoprotein that was originally isolated from human placenta.

Application Notes

Optimal dilution of the Tissue factor pathway inhibitor 2 antibody should be determined by the researcher.

Immunogen

A portion of amino acids 100-235 from human TFPI2 protein was used as the immunogen for the Tissue factor pathway inhibitor 2 antibody.

Storage

Aliquot the Tissue factor pathway inhibitor 2 antibody and store frozen at -20oC or colder. Avoid repeated freeze-thaw cycles.

Cross
Bulk Quote Request Form
Name*:
Organization*:
Email*:
Phone Number*:
Catalog No.*:
Comments and Specifics(amount, formulation, etc.)*:
Validation code: Captchapackage Image


Can't read the image? click here to refresh.
    *required field

Your bulk quote request has been submitted successfully!

Please contact us if you have any questions.