• Tel: 858.663.9055
  • SeparatorEmail: info@nsjbio.com
  • Tel: 858.663.9055
  • Email: info@nsjbio.com
Home >> Antibodies >> TIP3 Antibody / SOCS1 / SSI1

TIP3 Antibody / SOCS1 / SSI1 (RQ7255)

  Catalog No Formulation Size Price (USD)  
Image RQ7255 0.5mg/ml if reconstituted with 0.2ml sterile DI water 100 ug 439
Bulk quote request
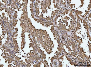
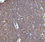
IHC staining of FFPE human lung cancer tissue with TIP3 antibody. HIER: boil tissue sections in pH8 EDTA for 20 min and allow to cool before testing.
IHC staining of FFPE human esophageal squamous carcinoma tissue with TIP3 antibody. HIER: boil tissue sections in pH8 EDTA for 20 min and allow to cool before testing.
IHC staining of FFPE human liver cancer tissue with TIP3 antibody. HIER: boil tissue sections in pH8 EDTA for 20 min and allow to cool before testing.
IHC staining of FFPE human cervical cancer tissue with TIP3 antibody. HIER: boil tissue sections in pH8 EDTA for 20 min and allow to cool before testing.
IHC staining of FFPE human tonsil tissue with TIP3 antibody. HIER: boil tissue sections in pH8 EDTA for 20 min and allow to cool before testing.
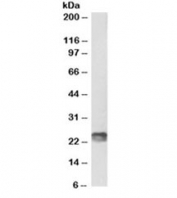
Western blot testing of human K562 cell lysate with TIP3 antibody. Predicted molecular weight ~24 kDa.
Western blot testing of 1) rat spleen, 2) rat PC-12, 3) mouse spleen, 4) mouse RAW264.7, 5) mouse Ana-1 and 6) mouse EL-4 cell lysate with TIP3 antibody. Predicted molecular weight ~24 kDa.
Availability 1-3 business days
Species Reactivity Human, Mouse, Rat
Format Antigen affinity purified
Clonality Polyclonal (rabbit origin)
Isotype Rabbit IgG
Purity Antigen affinity purified
Buffer Lyophilized from 1X PBS with 2% Trehalose
UniProt O15524
Localization Nucleus, cytoplasmic vesicles
Applications Western Blot : 0.5-1ug/ml
Immunohistochemistry (FFPE) : 2-5ug/ml
Limitations This TIP3 antibody is available for research use only.
Review this product on BioCompare and get a $20 Amazon gift card

Related Products

  • Applications : WB, IHC-P
    Reactivity : Human, Mouse, Rat
  • Applications : WB, IHC, IF, FACS, ELISA
    Reactivity : Human, Mouse, Rat
  • Applications : WB, ELISA (peptide)
    Reactivity : Human
  • Applications : WB, ELISA (peptide)
    Reactivity : Human, Mouse
    Pred. Reactivity : Rat, Dog, Cow
  • Applications : WB, ELISA (peptide)
    Reactivity : Human, Mouse
    Pred. Reactivity : Rat, Dog, Cow

Description

Suppressor of cytokine signaling 1 (SOCS1), also known as Jak-binding protein (JAB) and Tec-interacting protein 3 (TIP3), is a negative regulator to a subset of protein-tyrosine kinases. This 211-amino acid protein has a molecular mass of about 23.5 kD. The TEC-binding region of SOCS1 resides in the N terminus. SOCS1 associates with Tec and suppresses its kinase activity. The SOCS1 gene is intronless and is mapped to on chromosome 16p13.13. SOCS1 regulates the JAK/STAT signal-transduction pathway. Moreover, it contributes to protection against hepatic injury and fibrosis, and may also protect against hepatocarcinogenesis.

Application Notes

Optimal dilution of the TIP3 antibody should be determined by the researcher.

Immunogen

Amino acids FLVRDSRQRNCFFALSVKMA were used as the immunogen for the TIP3 antibody.

Storage

After reconstitution, the TIP3 antibody can be stored for up to one month at 4oC. For long-term, aliquot and store at -20oC. Avoid repeated freezing and thawing.

Cross
Bulk Quote Request Form
Name*:
Organization*:
Email*:
Phone Number*:
Catalog No.*:
Comments and Specifics(amount, formulation, etc.)*:
Validation code: Captchapackage Image


Can't read the image? click here to refresh.
    *required field

Your bulk quote request has been submitted successfully!

Please contact us if you have any questions.