• Tel: 858.663.9055
  • SeparatorEmail: info@nsjbio.com
  • Tel: 858.663.9055
  • Email: info@nsjbio.com
Home >> Antibodies >> TIMP2 Antibody

TIMP2 Antibody [clone TIMP2/4477] (V8933)

  Catalog No Formulation Size Price (USD)  
Image V8933-100UG 0.2 mg/ml in 1X PBS with 0.1 mg/ml BSA (US sourced), 0.05% sodium azide 100 ug 539
Image
V8933-20UG 0.2 mg/ml in 1X PBS with 0.1 mg/ml BSA (US sourced), 0.05% sodium azide 20 ug 249
Image
V8933SAF-100UG 1 mg/ml in 1X PBS; BSA free, sodium azide free 100 ug 539
Microvalidated
Bulk quote request
Analysis of HuProt(TM) microarray containing more than 19,000 full-length human proteins using TIMP2 antibody (clone TIMP2/4477). These results demonstrate the foremost specificity of the TIMP2/4477 mAb. Z- and S- score: The Z-score represents the strength of a signal that an antibody (in combination with a fluorescently-tagged anti-IgG secondary Ab) produces when binding to a particular protein on the HuProt(TM) array. Z-scores are described in units of standard deviations (SD's) above the mean value of all signals generated on that array. If the targets on the HuProt(TM) are arranged in descending order of the Z-score, the S-score is the difference (also in units of SD's) between the Z-scores. The S-score therefore represents the relative target specificity of an Ab to its intended target.
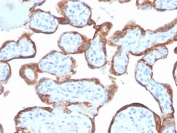
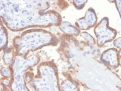
IHC staining of FFPE human placental tissue with TIMP2 antibody (clone TIMP2/4477). HIER: boil tissue sections in pH 9 10mM Tris with 1mM EDTA for 20 min and allow to cool before testing.
IHC staining of FFPE human placental tissue with TIMP2 antibody (clone TIMP2/4477). HIER: boil tissue sections in pH 9 10mM Tris with 1mM EDTA for 20 min and allow to cool before testing.
SDS-PAGE analysis of purified, BSA-free TIMP2 antibody (clone TIMP2/4477) as confirmation of integrity and purity.
Availability 1-3 business days
Species Reactivity Human
Format Purified
Clonality Monoclonal (mouse origin)
Isotype Mouse IgG1, kappa
Clone Name TIMP2/4477
Purity Protein A/G affinity
UniProt P16035
Localization Secreted, Cytoplasm
Applications Immunohistochemistry (FFPE) : 1-2ug/ml
Limitations This TIMP2 antibody is available for research use only.
Review this product on BioCompare and get a $20 Amazon gift card

Related Products

Description

It recognizes a protein of 21kDa, identified as tissue inhibitor of metalloproteinases-2 (TIMP-2). It is closely related to TIMP-1 and shows the highest binding affinity to both the latent (pro) and active forms of 72kDa Type IV collagenase (also known as MMP-2 or gelatinase A). It also has affinity for the active form of 92kDa Type IV collagenase (also known as MMP-9 or gelatinase B). TIMP-2 inhibits the proteolytic invasiveness of tumor cells and normal placental trophoblast cells.

Application Notes

Optimal dilution of the TIMP2 antibody should be determined by the researcher.

Immunogen

Recombinant full-length human TIMP2 protein was used as the immunogen for the TIMP2 antibody.

Storage

Aliquot the TIMP2 antibody and store frozen at -20oC or colder. Avoid repeated freeze-thaw cycles.

Cross
Bulk Quote Request Form
Name*:
Organization*:
Email*:
Phone Number*:
Catalog No.*:
Comments and Specifics(amount, formulation, etc.)*:
Validation code: Captchapackage Image


Can't read the image? click here to refresh.
    *required field

Your bulk quote request has been submitted successfully!

Please contact us if you have any questions.