• Tel: 858.663.9055
  • SeparatorEmail: info@nsjbio.com
  • Tel: 858.663.9055
  • Email: info@nsjbio.com
Home >> Antibodies >> TIMP2 Antibody

TIMP2 Antibody [clone TIMP2/2044] (V3899)

  Catalog No Formulation Size Price (USD)  
Image V3899-100UG 0.2 mg/ml in 1X PBS with 0.1 mg/ml BSA (US sourced) and 0.05% sodium azide 100 ug 539
Image
V3899-20UG 0.2 mg/ml in 1X PBS with 0.1 mg/ml BSA (US sourced) and 0.05% sodium azide 20 ug 249
Image
V3899SAF-100UG 1 mg/ml in 1X PBS; BSA free, sodium azide free 100 ug 539
Microvalidated
Bulk quote request
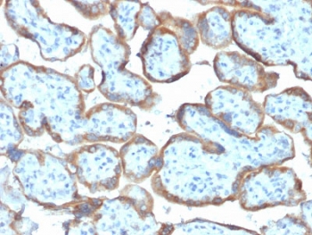
IHC testing of FFPE human placenta with TIMP2 antibody (clone TIMP2/2044). Required HIER: requires boil tissue sections in 10mM citrate buffer, pH 6, for 10-20 min followed by cooling at RT for 20 min.
Analysis of HuProt(TM) microarray containing more than 19,000 full-length human proteins using TIMP2 antibody (clone TIMP2/2044). These results demonstrate the foremost specificity of the TIMP2/2044 mAb.
Z- and S- score: The Z-score represents the strength of a signal that an antibody (in combination with a fluorescently-tagged anti-IgG secondary Ab) produces when binding to a particular protein on the HuProt(TM) array. Z-scores are described in units of standard deviations (SD's) above the mean value of all signals generated on that array. If the targets on the HuProt(TM) are arranged in descending order of the Z-score, the S-score is the difference (also in units of SD's) between the Z-scores. The S-score therefore represents the relative target specificity of an Ab to its intended target.
SDS-PAGE analysis of purified, BSA-free TIMP2 antibody (clone TIMP2/2044) as confirmation of integrity and purity.
Species Reactivity Human
Format Purified
Clonality Monoclonal (mouse origin)
Isotype Mouse IgG1, kappa
Clone Name TIMP2/2044
Purity Protein G affinity chromatography
Buffer 1X PBS, pH 7.4
UniProt P16035
Localization Cytoplasmic, cell surface, secreted
Applications ELISA : 2-4ug/ml (order BSA/azide-free format)
Immunohistochemistry (FFPE) : 1-2ug/ml for 30 min at RT
Limitations This TIMP2 antibody is available for research use only.
Review this product on BioCompare and get a $20 Amazon gift card

Related Products

Description

It recognizes a protein of 21kDa, identified as tissue inhibitor of metalloproteinases 2 (TIMP2). It is closely related to TIMP1 and shows the highest binding affinity to both the latent (pro) and active forms of 72kDa Type IV collagenase (also known as MMP2 or gelatinase A). It also has affinity for the active form of 92kDa Type IV collagenase (also known as MMP9 or gelatinase B). TIMP2 inhibits the proteolytic invasiveness of tumor cells and normal placental trophoblast cells.

Application Notes

The concentration stated for each application is a general starting point. Variations in protocols, secondaries and substrates may require the TIMP2 antibody to be titered up or down for optimal performance.

Immunogen

A portion of amino acids 48-220 from the human protein was used as the immunogen for this TIMP2 antibody.

Storage

Store the TIMP2 antibody at 2-8oC (with azide) or aliquot and store at -20oC or colder (without azide).

Cross
Bulk Quote Request Form
Name*:
Organization*:
Email*:
Phone Number*:
Catalog No.*:
Comments and Specifics(amount, formulation, etc.)*:
Validation code: Captchapackage Image


Can't read the image? click here to refresh.
    *required field

Your bulk quote request has been submitted successfully!

Please contact us if you have any questions.