• Tel: 858.663.9055
  • SeparatorEmail: info@nsjbio.com
  • Tel: 858.663.9055
  • Email: info@nsjbio.com
Home >> Antibodies >> TIMP2 Antibody

TIMP2 Antibody [clone 1554CT494.262.47] (F54264)

  Catalog No Formulation Size Price (USD)  
Image F54264-0.2ML In 1X PBS, pH 7.4, with 0.09% sodium azide 0.2 ml 429
Image
F54264-0.05ML In 1X PBS, pH 7.4, with 0.09% sodium azide 0.05 ml 199
Bulk quote request
Western blot testing of human SW480 cell lysate with TIMP2 antibody. Predicted molecular weight ~24 kDa.
Western blot testing of human HT-1080 cell lysate with TIMP2 antibody. Predicted molecular weight ~24 kDa.
Immunofluorescent staining of fixed and permeabilized human A549 cells with TIMP2 antibody (green), DAPI nuclear stain (blue) and anti-Actin (red).
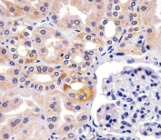
IHC testing of FFPE human kidney tissue with TIMP2 antibody. HIER: steam section in pH6 citrate buffer for 20 min and allow to cool prior to staining.
Flow cytometry testing of fixed and permeabilized human K562 cells with TIMP2 antibody; Blue=isotype control, Green= TIMP2 antibody.
Availability 1-3 business days
Species Reactivity Human
Format Purified
Clonality Monoclonal (mouse origin)
Isotype Mouse IgG1, kappa
Clone Name 1554CT494.262.47
Purity Protein G affinity
UniProt P16035
Localization Cytoplasmic, cell surface, secreted
Applications Western Blot : 1:500-1:2000
Immunohistochemistry (FFPE) : 1:25
Immunofluorescence : 1:25
Flow Cytometry : 1:25 (1x10e6 cells)
Limitations This TIMP2 antibody is available for research use only.
Review this product on BioCompare and get a $20 Amazon gift card

Related Products

Description

Complexes with metalloproteinases (such as collagenases) and irreversibly inactivates them by binding to their catalytic zinc cofactor.

Application Notes

The stated application concentrations are suggested starting points. Titration of the TIMP2 antibody may be required due to differences in protocols and secondary/substrate sensitivity.

Immunogen

A portion of amino acids from the human protein were used as the immunogen for the TIMP2 Antibody.

Storage

Aliquot the TIMP2 antibody and store frozen at -20oC or colder. Avoid repeated freeze-thaw cycles.

Cross
Bulk Quote Request Form
Name*:
Organization*:
Email*:
Phone Number*:
Catalog No.*:
Comments and Specifics(amount, formulation, etc.)*:
Validation code: Captchapackage Image


Can't read the image? click here to refresh.
    *required field

Your bulk quote request has been submitted successfully!

Please contact us if you have any questions.