• Tel: 858.663.9055
  • SeparatorEmail: info@nsjbio.com
  • Tel: 858.663.9055
  • Email: info@nsjbio.com
Home >> Antibodies >> TIGIT Antibody / VSTM3 / VSIG9

TIGIT Antibody / VSTM3 / VSIG9 [clone TIGIT/3018] (V5688)

  Catalog No Formulation Size Price (USD)  
Image V5688-100UG 0.2 mg/ml in 1X PBS with 0.1 mg/ml BSA (US sourced), 0.05% sodium azide 100 ug 539
Image
V5688-20UG 0.2 mg/ml in 1X PBS with 0.1 mg/ml BSA (US sourced), 0.05% sodium azide 20 ug 249
Image
V5688SAF-100UG 1 mg/ml in 1X PBS; BSA free, sodium azide free 100 ug 539
Microvalidated
Bulk quote request
Analysis of HuProt(TM) microarray containing more than 19,000 full-length human proteins using TIGIT antibody (clone TIGIT/3018). These results demonstrate the foremost specificity of the TIGIT/3018 mAb. Z- and S- score: The Z-score represents the strength of a signal that an antibody (in combination with a fluorescently-tagged anti-IgG secondary Ab) produces when binding to a particular protein on the HuProt(TM) array. Z-scores are described in units of standard deviations (SD's) above the mean value of all signals generated on that array. If the targets on the HuProt(TM) are arranged in descending order of the Z-score, the S-score is the difference (also in units of SD's) between the Z-scores. The S-score therefore represents the relative target specificity of an Ab to its intended target.
SDS-PAGE analysis of purified, BSA-free TIGIT antibody (clone TIGIT/3018) as confirmation of integrity and purity.
Availability 1-3 business days
Species Reactivity Human
Format Purified
Clonality Monoclonal (mouse origin)
Isotype Mouse IgG2c, kappa
Clone Name TIGIT/3018
Purity Protein A/G affinity
UniProt Q495A1
Localization Cell membrane, Cell surface
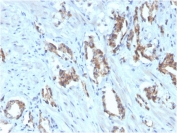
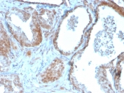
Applications ELISA :
Limitations This TIGIT antibody is available for research use only.
Review this product on BioCompare and get a $20 Amazon gift card

Related Products

Description

TIGIT is a checkpoint inhibitor which binds with high affinity to the poliovirus receptor (PVR), causing increased IL10 secretion, decreased IL12B secretion. TIGIT binding to PVR also causes the suppression of T cell activation by promoting the generation of mature immuno-regulatory dendritic cells. It is expressed at low levels on natural killer (NK) cells, as well as peripheral memory and regulatory CD4+ T cells. At the protein level, it is upregulated following the activation of these cells. Functionally, TIGIT is similar to CTLA4. The ligands for TIGIT include CD155 (signal abrogation) and CD226 (signal stimulation). It has been demonstrated to be upregulated on T cells in many cancers and is an immuno-oncology target for therapy.

Application Notes

Optimal dilution of the TIGIT antibody should be determined by the researcher.

Immunogen

A portion of amino acids 22-141 from human TIGIT protein was used as the immunogen for the TIGIT antibody.

Storage

Aliquot the TIGIT antibody and store frozen at -20oC or colder. Avoid repeated freeze-thaw cycles.

Cross
Bulk Quote Request Form
Name*:
Organization*:
Email*:
Phone Number*:
Catalog No.*:
Comments and Specifics(amount, formulation, etc.)*:
Validation code: Captchapackage Image


Can't read the image? click here to refresh.
    *required field

Your bulk quote request has been submitted successfully!

Please contact us if you have any questions.