• Tel: 858.663.9055
  • SeparatorEmail: info@nsjbio.com
  • Tel: 858.663.9055
  • Email: info@nsjbio.com
Home >> Antibodies >> TIF1 gamma Antibody / TRIM33

TIF1 gamma Antibody / TRIM33 (R32355)

  Catalog No Formulation Size Price (USD)  
Image R32355 0.5mg/ml if reconstituted with 0.2ml sterile DI water 100 ug 439
Bulk quote request
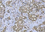
IHC staining of FFPE human ovarian serous adenocarcinoma tissue with TIF1 antibody. HIER: boil tissue sections in pH8 EDTA for 20 min and allow to cool before testing.
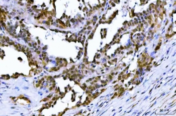
IHC staining of FFPE human lung adenocarcinoma tissue with TIF1 antibody. HIER: boil tissue sections in pH8 EDTA for 20 min and allow to cool before testing.
Flow cytometry testing of human A431 cells with TIF1 gamma antibody at 1ug/million cells (blocked with goat sera); Red=cells alone, Green=isotype control, Blue= TIF1 gamma antibody.
Flow cytometry testing of human U-87 MG cells with TIF1 gamma antibody at 1ug/million cells (blocked with goat sera); Red=cells alone, Green=isotype control, Blue= TIF1 gamma antibody.
Immunofluorescent staining of FFPE human A431 cells with TIF1 antibody (green) and DAPI nuclear stain (blue). HIER: steam section in pH6 citrate buffer for 20 min.
Western blot testing of 1) human K562, 2) human Jurkat, 3) rat brain and 4) mouse brain tissue lysate with TIF1 gamma antibody. Predicted molecular weight ~122 kDa but routinely observed at ~155 kDa.
Availability 1-3 business days
Species Reactivity Human, Mouse, Rat
Format Antigen affinity purified
Clonality Polyclonal (rabbit origin)
Isotype Rabbit IgG
Purity Antigen affinity
Buffer Lyophilized from 1X PBS with 2.5% BSA and 0.025% sodium azide
UniProt Q9UPN9
Localization Nuclear
Applications Western Blot : 0.5-1ug/ml
Immunohistochemistry (FFPE) : 2-5ug/ml
Flow Cytometry : 1-3ug/million cells
Immunofluorescence : 5ug/ml
Limitations This TIF1 gamma antibody is available for research use only.
Review this product on BioCompare and get a $20 Amazon gift card

Related Products

Description

Tripartite motif-containing 33, also known as transcriptional intermediary factor 1 gamma (TIF1-γ), is a human gene. The TRIM33 gene is mapped to chromosome 1p13 by FISH. The protein encoded by this gene is thought to be a transcriptional corepressor. However, molecules that interact with this protein have not yet been identified. The protein is a member of the tripartite motif family. This motif includes three zinc-binding domains, a RING, a B-box type 1 and a B-box type 2, and a coiled-coil region. Three alternatively spliced transcript variants for this gene have been described; however, the full-length nature of one variant has not been determined.

Application Notes

Optimal dilution of the TIF1 gamma antibody should be determined by the researcher.

Immunogen

Amino acids 1001-1127 of human TIF1 gamma were used as the immunogen for the TIF1 gamma antibody.

Storage

After reconstitution, the TIF1 gamma antibody can be stored for up to one month at 4oC. For long-term, aliquot and store at -20oC. Avoid repeated freezing and thawing.

Cross
Bulk Quote Request Form
Name*:
Organization*:
Email*:
Phone Number*:
Catalog No.*:
Comments and Specifics(amount, formulation, etc.)*:
Validation code: Captchapackage Image


Can't read the image? click here to refresh.
    *required field

Your bulk quote request has been submitted successfully!

Please contact us if you have any questions.