• Tel: 858.663.9055
  • SeparatorEmail: info@nsjbio.com
  • Tel: 858.663.9055
  • Email: info@nsjbio.com
Home >> Antibodies >> Thyroxine Binding Globulin Antibody / TBG / SERPINA7

Thyroxine Binding Globulin Antibody / TBG / SERPINA7 (RQ7627)

  Catalog No Formulation Size Price (USD)  
Image RQ7627 0.5mg/ml if reconstituted with 0.2ml sterile DI water 100 ug 439
Bulk quote request
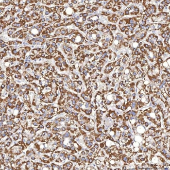
IHC staining of FFPE human liver cancer tissue with Thyroxine Binding Globulin antibody. HIER: boil tissue sections in pH8 EDTA for 20 min and allow to cool before testing.
Western blot testing of human HepG2 cell lysate with Thyroxine Binding Globulin antibody. Predicted molecular weight ~46 kDa.
Flow cytometry testing of human HepG2 cells with Thyroxine Binding Globulin antibody at 1ug/million cells (blocked with goat sera); Red=cells alone, Green=isotype control, Blue= Thyroxine Binding Globulin antibody.
Availability 1-3 business days
Species Reactivity Human
Format Antigen affinity purified
Clonality Polyclonal (rabbit origin)
Isotype Rabbit IgG
Purity Antigen affinity purified
Buffer Lyophilized from 1X PBS with 2% Trehalose
UniProt P05543
Applications Western Blot : 0.5-1ug/ml
Immunohistochemistry (FFPE) : 2-5ug/ml
Flow Cytometry : 1-3ug/million cells
Direct ELISA : 0.1-0.5ug/ml
Limitations This Thyroxine Binding Globulin antibody is available for research use only.
Review this product on BioCompare and get a $20 Amazon gift card

Description

Thyroxine-binding globulin (TBG) is a globulin protein that in humans is encoded by the SERPINA7 gene. There are three proteins including thyroxine-binding globulin (TBG), transthyretin and albumin responsible for carrying the thyroid hormones thyroxine (T4) and 3,5,3'-triiodothyronine (T3) in the bloodstream. This gene encodes the major thyroid hormone transport protein, TBG, in serum. It belongs to the serpin family in genomics, but the protein has no inhibitory function like many other members of the serpin family. Mutations in this gene result in TGB deficiency, which has been classified as partial deficiency, complete deficiency, and excess, based on the level of serum TBG. Alternatively spliced transcript variants encoding different isoforms have been found, but the full-length nature of these variants has not been determined.

Application Notes

Optimal dilution of the Thyroxine Binding Globulin antibody should be determined by the researcher.

Immunogen

E. coli-derived recombinant human protein (amino acids R55-R389) was used as the immunogen for the Thyroxine Binding Globulin antibody.

Storage

After reconstitution, the Thyroxine Binding Globulin antibody can be stored for up to one month at 4oC. For long-term, aliquot and store at -20oC. Avoid repeated freezing and thawing.

Cross
Bulk Quote Request Form
Name*:
Organization*:
Email*:
Phone Number*:
Catalog No.*:
Comments and Specifics(amount, formulation, etc.)*:
Validation code: Captchapackage Image


Can't read the image? click here to refresh.
    *required field

Your bulk quote request has been submitted successfully!

Please contact us if you have any questions.