• Tel: 858.663.9055
  • SeparatorEmail: info@nsjbio.com
  • Tel: 858.663.9055
  • Email: info@nsjbio.com
Home >> Antibodies >> Thyroglobulin Antibody

Thyroglobulin Antibody [clone 6E1.] (V2263)

  Catalog No Formulation Size Price (USD)  
Image V2263-100UG 0.2 mg/ml in 1X PBS with 0.1 mg/ml BSA (US sourced) and 0.05% sodium azide 100 ug 539
Image
V2263-20UG 0.2 mg/ml in 1X PBS with 0.1 mg/ml BSA (US sourced) and 0.05% sodium azide 20 ug 249
Image
V2263SAF-100UG 1 mg/ml in 1X PBS; BSA free, sodium azide free 100 ug 539
Image
V2263IHC-7ML Prediluted in 1X PBS with 0.1 mg/ml BSA (US sourced) and 0.05% sodium azide; *For IHC use only* 7 ml 539
Bulk quote request
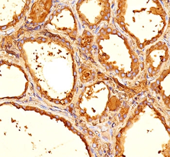
IHC staining of human thyroid tissue with Thyroglobulin antibody (clone 6E1).
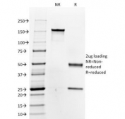
SDS-PAGE Analysis of Purified, BSA-Free Thyroglobulin Antibody (clone 6E1). Confirmation of Integrity and Purity of the Antibody.
Species Reactivity Human, Mouse, Rat
Format Purified
Clonality Monoclonal (mouse origin)
Isotype Mouse IgG1, kappa
Clone Name 6E1.
Purity Protein G affinity chromatography
Buffer 1X PBS, pH 7.4
Gene ID 7038
Localization Cytoplasmic and secreted
Applications ELISA : 2-4ug/ml (order BSA/azide-free format)
Immunohistochemistry (FFPE) : 0.1-0.2ug/ml for 30 min at RT
Limitations This Thyroglobulin antibody is available for research use only.
Review this product on BioCompare and get a $20 Amazon gift card

Related Products

Description

Thyroglobulin is a 660kDa dimeric pre-protein with mutiple glycosylation sites, detected at ~300kDa in western blot. It is produced by and processed within the thyroid gland to produce the hormone thyroxine and triiodothyronine. Prior to forming dimers, thyroglobulin monomers undergo conformational maturation in the endoplasmic reticulation. The vast majority of follicular carcinomas of the thyroid will give positive immunoreactivity for thyroglobulin antibody even though sometimes only focally. Poorly differentiated carcinomas of the thyroid are frequently thyroglobulin antibody negative. Adenocarcinomas of other-than-thyroid origin do not react with this antibody. This antibody is useful in identification of thyroid carcinoma of the papillary and follicular types. Presence of thyroglobulin in metastatic lesions establishes the thyroid origin of tumor. Thyroglobulin antibody, combined with calcitonin antibody, can identify medullary carcinomas of the thyroid. Furthermore, thyroglobulin antibody, combined with TTF1 antibody, can be a reliable marker to differentiate between primary thyroid and lung neoplasms.

Application Notes

The concentration stated for each application is a general starting point. Variations in protocols, secondaries and substrates may require the antibody to be titered up or down for optimal performance.

1. Staining of formalin-fixed tissues requires boiling tissue sections in pH 9 10mM Tris with 1mM EDTA for 10-20 min followed by cooling at RT for 20 minutes.
2. The prediluted format is supplied in a dropper bottle and is optimized for use in IHC. After epitope retrieval step (if required), drip mAb solution onto the tissue section and incubate at RT for 30 min.

Immunogen

Human thyroid follicular cells were used as the immunogen for this Thyroglobulin antibody.

Storage

Store the Thyroglobulin antibody at 2-8oC (with azide) or aliquot and store at -20oC or colder (without azide).

Alternate Names

AITD3, hTG, TDH3, Tg, Tgn, Thyroglobulin antibody

Cross
Bulk Quote Request Form
Name*:
Organization*:
Email*:
Phone Number*:
Catalog No.*:
Comments and Specifics(amount, formulation, etc.)*:
Validation code: Captchapackage Image


Can't read the image? click here to refresh.
    *required field

Your bulk quote request has been submitted successfully!

Please contact us if you have any questions.