• Tel: 858.663.9055
  • SeparatorEmail: info@nsjbio.com
  • Tel: 858.663.9055
  • Email: info@nsjbio.com
Home >> Antibodies >> Thymidylate Synthase Antibody / TYSY

Thymidylate Synthase Antibody / TYSY (F54315)

  Catalog No Formulation Size Price (USD)  
Image F54315-0.4ML In 1X PBS, pH 7.4, with 0.09% sodium azide 0.4 ml 429
Image
F54315-0.08ML In 1X PBS, pH 7.4, with 0.09% sodium azide 0.08 ml 199
Bulk quote request
Western blot testing of human 1) HeLa, 2) Jurkat and 3) HL60 cell lysate with Thymidylate Synthase antibody. Predicted molecular weight ~36 kDa.
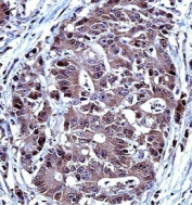
IHC testing of FFPE human colon carcinoma tissue with IRF7 antibody. HIER: steam section in pH6 citrate buffer for 20 min and allow to cool prior to staining.
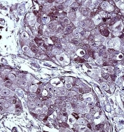
IHC testing of FFPE human breast carcinoma tissue with IRF7 antibody. HIER: steam section in pH6 citrate buffer for 20 min and allow to cool prior to staining.
Immunofluorescent staining of fixed and permeabilized human HeLa cells with Thymidylate Synthase antibody (green), DAPI nuclear stain (blue) and anti-Actin (red).
Immunofluorescent staining of fixed and permeabilized human WiDr cells with Thymidylate Synthase antibody (green), DAPI nuclear stain (blue) and anti-Actin (red).
Flow cytometry testing of fixed and permeabilized human HeLa cells with Thymidylate Synthase antibody; Blue=isotype control, Green= Thymidylate Synthase antibody.
Availability 1-3 business days
Species Reactivity Human
Format Purified
Clonality Polyclonal (rabbit origin)
Isotype Rabbit Ig
Purity Antigen affinity purified
UniProt P04818
Localization Cytoplasmic, nuclear
Applications Western Blot : 1:500-1:2000
Immunohistochemistry (FFPE) : 1:25
Immunofluorescence : 1:25
Flow Cytometry : 1:25 (1x10e6 cells)
Limitations This Thymidylate Synthase antibody is available for research use only.
Review this product on BioCompare and get a $20 Amazon gift card

Related Products

Description

Thymidylate synthase catalyzes the methylation of deoxyuridylate to deoxythymidylate using 5,10-methylenetetrahydrofolate (methylene-THF) as a cofactor. This function maintains the dTMP (thymidine-5-prime monophosphate) pool critical for DNA replication and repair. The enzyme has been of interest as a target for cancer chemotherapeutic agents. It is considered to be the primary site of action for 5-fluorouracil, 5-fluoro-2-prime-deoxyuridine, and some folate analogs.

Application Notes

The stated application concentrations are suggested starting points. Titration of the Thymidylate Synthase antibody may be required due to differences in protocols and secondary/substrate sensitivity.

Immunogen

A portion of amino acids 265-294 from the human protein was used as the immunogen for the Thymidylate Synthase Antibody.

Storage

Aliquot the Thymidylate Synthase antibody and store frozen at -20oC or colder. Avoid repeated freeze-thaw cycles.

Cross
Bulk Quote Request Form
Name*:
Organization*:
Email*:
Phone Number*:
Catalog No.*:
Comments and Specifics(amount, formulation, etc.)*:
Validation code: Captchapackage Image


Can't read the image? click here to refresh.
    *required field

Your bulk quote request has been submitted successfully!

Please contact us if you have any questions.