• Tel: 858.663.9055
  • SeparatorEmail: info@nsjbio.com
  • Tel: 858.663.9055
  • Email: info@nsjbio.com
Home >> Antibodies >> Thrombospondin-3 Antibody / THBS3 / TSP3

Thrombospondin-3 Antibody / THBS3 / TSP3 (RQ7484)

  Catalog No Formulation Size Price (USD)  
Image RQ7484 0.5mg/ml if reconstituted with 0.2ml sterile DI water 100 ug 439
Bulk quote request
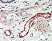
IHC staining of FFPE human breast cancer tissue with Thrombospondin-3 antibody. HIER: boil tissue sections in pH8 EDTA for 20 min and allow to cool before testing.
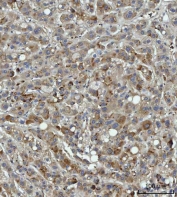
IHC staining of FFPE human liver cancer tissue with Thrombospondin-3 antibody. HIER: boil tissue sections in pH8 EDTA for 20 min and allow to cool before testing.
Western blot testing of human 1) SH-SY5Y and 2) MCF7 cell lysate with Thrombospondin-3 antibody. Predicted molecular weight ~104 kDa but may be observed at higher molecular weights due to glycosylation.
Flow cytometry testing of human MCF7 cells with Thrombospondin-3 antibody at 1ug/million cells (blocked with goat sera); Red=cells alone, Green=isotype control, Blue= Thrombospondin-3 antibody.
Availability 1-3 business days
Species Reactivity Human
Format Antigen affinity purified
Clonality Polyclonal (rabbit origin)
Isotype Rabbit IgG
Purity Antigen affinity purified
Buffer Lyophilized from 1X PBS with 2% Trehalose
UniProt P49746
Localization Perinuclear, extracellular
Applications Western Blot : 0.5-1ug/ml
Immunohistochemistry (FFPE) : 2-5ug/ml
Flow Cytometry : 1-3ug/million cells
Direct ELISA : 0.1-0.5ug/ml
Limitations This Thrombospondin-3 antibody is available for research use only.
Review this product on BioCompare and get a $20 Amazon gift card

Related Products

  • Applications : IHC, ELISA (peptide)
    Reactivity : Human
    Pred. Reactivity : Mouse, Dog, Pig, Cow

Description

Thrombospondin-3 (TSP3) is a protein that in humans is encoded by the THBS3 gene. The protein encoded by this gene belongs to the thrombospondin family. Thrombospondin family members are adhesive glycoproteins that mediate cell-to-cell and cell-to-matrix interactions. This protein forms a pentameric molecule linked by a single disulfide bond. This gene shares a common promoter with metaxin 1. Alternate splicing results in coding and non-coding transcript variants.

Application Notes

Optimal dilution of the Thrombospondin-3 antibody should be determined by the researcher.

Immunogen

E. coli-derived recombinant human protein (amino acids Q23-T486) was used as the immunogen for the Thrombospondin-3 antibody.

Storage

After reconstitution, the Thrombospondin-3 antibody can be stored for up to one month at 4oC. For long-term, aliquot and store at -20oC. Avoid repeated freezing and thawing.

Cross
Bulk Quote Request Form
Name*:
Organization*:
Email*:
Phone Number*:
Catalog No.*:
Comments and Specifics(amount, formulation, etc.)*:
Validation code: Captchapackage Image


Can't read the image? click here to refresh.
    *required field

Your bulk quote request has been submitted successfully!

Please contact us if you have any questions.