• Tel: 858.663.9055
  • SeparatorEmail: info@nsjbio.com
  • Tel: 858.663.9055
  • Email: info@nsjbio.com
Home >> Antibodies >> Thrombospondin 2 Antibody / THBS2

Thrombospondin 2 Antibody / THBS2 (R30487)

  Catalog No Formulation Size Price (USD)  
Image R30487 0.5mg/ml if reconstituted with 0.2ml sterile DI water 100 ug 439
Bulk quote request
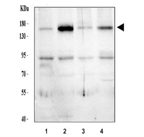
Western blot testing of human 1) HeLa, 2) MCF7, 3) U-87 MG and 4) U-251 cell lysate with Thrombospondin 2 antibody. Expected molecular weight: 130-170 kDa depending on glycosylation level.
Availability 1-3 business days
Species Reactivity Human
Format Antigen affinity purified
Clonality Polyclonal (rabbit origin)
Isotype Rabbit IgG
Purity Antigen affinity
Buffer Lyophilized from 1X PBS with 2.5% BSA and 0.025% sodium azide
UniProt P35442
Applications Western Blot : 0.5-1ug/ml
Limitations This Thrombospondin 2 antibody is available for research use only.
Review this product on BioCompare and get a $20 Amazon gift card

Related Products

Description

Thrombospondin-2 (THBS2) is a protein that in humans is encoded by the THBS2 gene. The protein encoded by this gene belongs to the thrombospondin family. The THBS2 is mapped to 6q27 and it is located on chromosome 17. The gene was transcribed in fibroblasts, smooth muscle cells, and an osteosarcoma cell line. It functions as a protein inhibitor of tumor growth and angiogenesis and modulates the cell surface properties of mesenchymal cells and be involved in cell adhesion and migration.

Application Notes

The stated application concentrations are suggested starting amounts. Titration of the Thrombospondin 2 antibody may be required due to differences in protocols and secondary/substrate sensitivity.

Immunogen

An amino acid sequence from the middle region of human Thrombospondin 2 (EAAKTEKQVCEPENPCKDK) was used as the immunogen for this Thrombospondin 2 antibody.

Storage

After reconstitution, the Thrombospondin 2 antibody can be stored for up to one month at 4oC. For long-term, aliquot and store at -20oC. Avoid repeated freezing and thawing.

Cross
Bulk Quote Request Form
Name*:
Organization*:
Email*:
Phone Number*:
Catalog No.*:
Comments and Specifics(amount, formulation, etc.)*:
Validation code: Captchapackage Image


Can't read the image? click here to refresh.
    *required field

Your bulk quote request has been submitted successfully!

Please contact us if you have any questions.