• Tel: 858.663.9055
  • SeparatorEmail: info@nsjbio.com
  • Tel: 858.663.9055
  • Email: info@nsjbio.com
Home >> Antibodies >> Thrombomodulin Antibody / CD141

Thrombomodulin Antibody / CD141 [clone THBD/1591] (V3407)

  Catalog No Formulation Size Price (USD)  
Image V3407-100UG 0.2 mg/ml in 1X PBS with 0.1 mg/ml BSA (US sourced) and 0.05% sodium azide 100 ug 539
Image
V3407-20UG 0.2 mg/ml in 1X PBS with 0.1 mg/ml BSA (US sourced) and 0.05% sodium azide 20 ug 249
Image
V3407SAF-100UG 1 mg/ml in 1X PBS; BSA free, sodium azide free 100 ug 539
Microvalidated
Bulk quote request
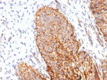
IHC testing of FFPE human bladder carcinoma with Thrombomodulin antibody (clone THBD/1591). HIER: boil tissue sections in 10mM Tris buffer with 1mM EDTA, pH 9, for 10-20 min followed by cooling at RT for 20 min.
IHC testing of FFPE human cervical carcinoma with Thrombomodulin antibody (clone THBD/1591). HIER: boil tissue sections in 10mM Tris buffer with 1mM EDTA, pH 9, for 10-20 min followed by cooling at RT for 20 min.
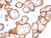
IHC testing of FFPE human placenta with Thrombomodulin antibody (clone THBD/1591). HIER: boil tissue sections in 10mM Tris buffer with 1mM EDTA, pH 9, for 10-20 min followed by cooling at RT for 20 min.
Western blot testing of 1) recombinant partial protein and 2) human ThP1 lysate with Thrombomodulin antibody (clone THBD/1591). Expected molecular weight ~60/100 kDa (unmodified/glycosylated).
SDS-PAGE Analysis of Purified, BSA-Free Thrombomodulin Antibody (clone THBD/1591). Confirmation of Integrity and Purity of the Antibody.
Analysis of HuProt(TM) microarray containing more than 19,000 full-length human proteins using Thrombomodulin antibody (clone THBD/1591). These results demonstrate the foremost specificity of the THBD/1591 mAb. Z- and S- score: The Z-score represents the strength of a signal that an antibody (in combination with a fluorescently-tagged anti-IgG secondary Ab) produces when binding to a particular protein on the HuProt(TM) array. Z-scores are described in units of standard deviations (SD's) above the mean value of all signals generated on that array. If the targets on the HuProt(TM) are arranged in descending order of the Z-score, the S-score is the difference (also in units of SD's) between the Z-scores. The S-score therefore represents the relative target specificity of an Ab to its intended target.
Species Reactivity Human
Format Purified
Clonality Monoclonal (mouse origin)
Isotype Mouse IgG2b, kappa
Clone Name THBD/1591
Purity Protein G affinity chromatography
Buffer 1X PBS, pH 7.4
UniProt P07204
Localization Cell surface, cytoplasmic
Applications ELISA : 2-4ug/ml (order BSA/azide-free format)
Western Blot : 1-2ug/ml
Immunohistochemistry (FFPE) : 1-2ug/ml for 30 min at RT
Limitations This Thrombomodulin antibody is available for research use only.
Review this product on BioCompare and get a $20 Amazon gift card

Related Products

Description

It recognizes a protein of 75kDa, identified as Thrombomodulin. Thrombomodulin is a transmembrane glycoprotein with natural anticoagulant properties. It is normally expressed by a restricted number of cells, such as endothelial and mesothelial cells. In addition, synovial lining and syncytio-trophoblasts of placenta also express thrombomodulin. This protein is present in almost all of benign vascular tumors and majority of malignant vascular tumors (Kaposi s sarcoma, angiosarcoma, and epithelioid hemangioendothelioma). Hence, anti-thrombomodulin serves as a sensitive marker for lymphatic endothelial cells and their tumors. Recently, thrombomodulin antibody has been used for mesothelial cells and malignant mesotheliomas.

Application Notes

The concentration stated for each application is a general starting point. Variations in protocols, secondaries and substrates may require the Thrombomodulin antibody to be titered up or down for optimal performance.

Immunogen

Human recombinant partial protein corresponding to amino acids 69-194 was used as the immunogen for this Thrombomodulin antibody.

Storage

Store the Thrombomodulin antibody at 2-8oC (with azide) or aliquot and store at -20oC or colder (without azide).

Cross
Bulk Quote Request Form
Name*:
Organization*:
Email*:
Phone Number*:
Catalog No.*:
Comments and Specifics(amount, formulation, etc.)*:
Validation code: Captchapackage Image


Can't read the image? click here to refresh.
    *required field

Your bulk quote request has been submitted successfully!

Please contact us if you have any questions.