• Tel: 858.663.9055
  • SeparatorEmail: info@nsjbio.com
  • Tel: 858.663.9055
  • Email: info@nsjbio.com
Home >> Antibodies >> THRAP3 Antibody / TRAP150 / Thyroid hormone receptor-associated protein 3

THRAP3 Antibody / TRAP150 / Thyroid hormone receptor-associated protein 3 (FY13145)

  Catalog No Formulation Size Price (USD)  
Image FY13145 Adding 0.2 ml of distilled water will yield a concentration of 500 ug/ml 100 ug 439
Bulk quote request
Immunofluorescent staining of THRAP3 using anti-THRAP3 antibody (green) and anti-Alpha Tubulin antibody (red). THRAP3 was detected in an immunocytochemical section of U2OS cells. Enzyme antigen retrieval was performed using IHC enzyme antigen retrieval reagent for 15 mins. The cells were blocked with 10% goat serum. And then incubated with 5 ug/ml rabbit anti-THRAP3 antibody and mouse anti-Beta Tubulin antibody overnight at 4oC. DyLight 488 Conjugated Goat Anti-Rabbit IgG and Cy3 Conjugated Goat Anti-Mouse IgG were used as secondary antibody at 1:500 dilution and incubated for 30 minutes at 37oC. Visualize using a fluorescence microscope and filter sets appropriate for the label used.
Western blot analysis of THRAP3 using anti-THRAP3 antibody. Electrophoresis was performed on a 8% SDS-PAGE gel at 80V (Stacking gel) / 120V (Resolving gel) for 2 hours. Lane 1: human Hela whole cell lysates, Lane 2: human LNCAP whole cell lysates, Lane 3: human REH whole cell lysates, Lane 4: human HEL whole cell lysates, Lane 5: rat brain tissue lysates, Lane 6: rat RH35 whole cell lysates, Lane 7: mouse brain tissue lysates, Lane 8: mouse NIH/3T3 whole cell lysates. After electrophoresis, proteins were transferred to a nitrocellulose membrane at 150 mA for 50-90 minutes. Blocked the membrane with 5% non-fat milk/TBS for 1.5 hour at RT. The membrane was incubated with rabbit anti-THRAP3 antibody at 0.5 ug/ml overnight at 4oC, then washed with TBS-0.1%Tween 3 times with 5 minutes each and probed with a goat anti-rabbit IgG-HRP secondary antibody at a dilution of 1:5000 for 1.5 hour at RT. The signal was developed using an ECL Plus Western Blotting Substrate. THRAP3 antibody detects a major band at ~150 kDa across multiple lysates. Although the theoretical molecular weight is ~109 kDa, THRAP3 migrates slower due to its SR-rich composition and heavy phosphorylation. In HEL cells, a clear doublet (~140-155 kDa) is observed, consistent with previously reported phosphorylation-dependent mobility variants.
Immunohistochemical staining of THRAP3 using anti-THRAP3 antibody. THRAP3 was detected in a paraffin-embedded section of mouse brain tissue. Heat mediated antigen retrieval was performed in EDTA buffer (pH 8.0, epitope retrieval solution). The tissue section was blocked with 10% goat serum. The tissue section was then incubated with 2 ug/ml rabbit anti-THRAP3 antibody overnight at 4oC. Peroxidase Conjugated Goat Anti-rabbit IgG was used as secondary antibody and incubated for 30 minutes at 37oC. The tissue section was developed using an HRP secondary and DAB substrate.
Immunohistochemical staining of THRAP3 using anti-THRAP3 antibody. THRAP3 was detected in a paraffin-embedded section of rat brain tissue. Heat mediated antigen retrieval was performed in EDTA buffer (pH 8.0, epitope retrieval solution). The tissue section was blocked with 10% goat serum. The tissue section was then incubated with 2 ug/ml rabbit anti-THRAP3 antibody overnight at 4oC. Peroxidase Conjugated Goat Anti-rabbit IgG was used as secondary antibody and incubated for 30 minutes at 37oC. The tissue section was developed using an HRP secondary and DAB substrate.
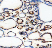
Immunohistochemical staining of THRAP3 using anti-THRAP3 antibody. THRAP3 was detected in a paraffin-embedded section of human thyroid cancer tissue. Heat mediated antigen retrieval was performed in EDTA buffer (pH 8.0, epitope retrieval solution). The tissue section was blocked with 10% goat serum. The tissue section was then incubated with 2 ug/ml rabbit anti-THRAP3 antibody overnight at 4oC. Peroxidase Conjugated Goat Anti-rabbit IgG was used as secondary antibody and incubated for 30 minutes at 37oC. The tissue section was developed using an HRP secondary and DAB substrate.
Flow Cytometry analysis of HEL cells using anti-THRAP3 antibody. Overlay histogram showing HEL cells stained with (Blue line). To facilitate intracellular staining, cells were fixed with 4% paraformaldehyde and permeabilized with permeabilization buffer. The cells were blocked with 10% normal goat serum. And then incubated with rabbit anti-THRAP3 antibody (1 ug/million cells) for 30 min at 20oC. DyLight 488 conjugated goat anti-rabbit IgG (5-10 ug/million cells) was used as secondary antibody for 30 minutes at 20oC. Isotype control antibody (Green line) was rabbit IgG (1 ug/million cells) used under the same conditions. Unlabelled sample without incubation with primary antibody and secondary antibody (Red line) was used as a blank control.
Availability 1-2 days
Species Reactivity Human, Mouse, Rat
Format Lyophilized
Clonality Polyclonal (rabbit origin)
Isotype Rabbit IgG
Purity Immunogen affinity purified
Buffer Each vial contains 4 mg Trehalose, 0.9 mg NaCl, 0.2 mg Na2HPO4.
UniProt Q9Y2W1
Localization Nuclear
Applications Western Blot : 0.25-0.5ug/ml
Immunohistochemistry : 2-5ug/ml
Immunocytochemistry/Immunofluorescence : 5ug/ml
Flow Cytometry : 1-3ug/million cells
ELISA : 0.1-0.5ug/ml
Limitations This THRAP3 antibody is available for research use only.
Review this product on BioCompare and get a $20 Amazon gift card

Description

THRAP3 antibody detects Thyroid hormone receptor-associated protein 3, an RNA-binding and transcriptional coactivator involved in mRNA splicing, export, and DNA damage response. The UniProt recommended name is Thyroid hormone receptor-associated protein 3 (THRAP3). This multifunctional nuclear protein integrates transcriptional and post-transcriptional regulation, linking chromatin signaling to RNA metabolism.

Functionally, THRAP3 antibody identifies a 955-amino-acid protein that associates with transcriptional coactivator complexes, including TRAP/SMCC/Med complex components, and with splicing regulators. THRAP3 modulates alternative splicing of pre-mRNAs and facilitates the export of mature transcripts to the cytoplasm. It also interacts with BRCA1 and phosphorylated proteins in response to DNA damage, influencing genome stability.

The THRAP3 gene is located on chromosome 1p36.11 and is ubiquitously expressed in proliferating tissues. Through its binding to RNA and chromatin-associated factors, THRAP3 functions as a bridge between transcriptional activation and mRNA maturation, coordinating gene expression output.

Pathologically, THRAP3 dysfunction has been linked to cancer and metabolic diseases. Aberrant splicing or mutations affecting THRAP3 lead to impaired mRNA processing and genomic instability. Research using THRAP3 antibody supports studies in transcriptional control, splicing regulation, and DNA repair signaling.

THRAP3 antibody is validated for western blotting, immunoprecipitation, and immunofluorescence to detect RNA-binding coactivator proteins. NSJ Bioreagents provides THRAP3 antibody reagents optimized for transcriptional and post-transcriptional research applications.

Structurally, Thyroid hormone receptor-associated protein 3 contains low-complexity domains and serine/arginine-rich regions that mediate protein-RNA and protein-protein interactions. This antibody enables exploration of THRAP3's molecular role in coordinating transcriptional activation with RNA processing.

Application Notes

Optimal dilution of the THRAP3 antibody should be determined by the researcher.

Immunogen

E.coli-derived human THRAP3 recombinant protein (Position: A57-K768) was used as the immunogen for the THRAP3 antibody.

Storage

After reconstitution, the THRAP3 antibody can be stored for up to one month at 4oC. For long-term, aliquot and store at -20oC. Avoid repeated freezing and thawing.

Cross
Bulk Quote Request Form
Name*:
Organization*:
Email*:
Phone Number*:
Catalog No.*:
Comments and Specifics(amount, formulation, etc.)*:
Validation code: Captchapackage Image


Can't read the image? click here to refresh.
    *required field

Your bulk quote request has been submitted successfully!

Please contact us if you have any questions.