• Tel: 858.663.9055
  • SeparatorEmail: info@nsjbio.com
  • Tel: 858.663.9055
  • Email: info@nsjbio.com
Home >> Antibodies >> Thioredoxin Antibody / TXN / TRX

Thioredoxin Antibody / TXN / TRX (F40029)

  Catalog No Formulation Size Price (USD)  
Image F40029-0.4ML In 1X PBS, pH 7.4, with 0.09% sodium azide 0.4 ml 429
Image
F40029-0.08ML In 1X PBS, pH 7.4, with 0.09% sodium azide 0.08 ml 199
Bulk quote request
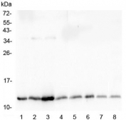
Western blot analysis of Thioredoxin in HL-60 lysate
Availability 1-3 business days
Species Reactivity Human
Format Purified
Clonality Polyclonal (rabbit origin)
Isotype Rabbit Ig
Purity Purified
UniProt P10599
Applications Western Blot : 1:1000
Limitations This Thioredoxin antibody is available for research use only.
Review this product on BioCompare and get a $20 Amazon gift card

Related Products

Description

Thioredoxins (Trx) are small, multi-functional proteins with oxidoreductase activity and are ubiquitous in essentially all living cells. Trx contains a redox active disulfide/dithiol group within the conserved Cys-Gly-Pro-Cys active site. The two cysteine residues in the conserved active centers can be oxidized to form intramolecular disulfide bonds. Reduction of the active site disulfide in oxidized Trx is catalyzed by Trx reductase with NADPH as the electron donor. The reduced Trx is a hydrogen donor for ribonucleotide reductase, the essential enzyme for DNA synthesis, and a potent general protein disulfide reductase with numerous functions in growth and redox regulations. Specific protein disulfide targets for reduction by Trx include protein disulfide isomerase(PDI) and a number of transcription factors such as p53, NF-kB and AP-1.Trx is also capable of removing H2O2, particularly when it is coupled with either methionine sulfoxide reductase or several isoforms of peroxiredoxins.

Application Notes

Titration of the Thioredoxin antibody may be required due to differences in protocols and secondary/substrate sensitivity.

Immunogen

A portion of amino acids 1-30 from the human protein was used as the immunogen for this Thioredoxin antibody.

Storage

Aliquot the Thioredoxin antibody and store frozen at -20oC or colder. Avoid repeated freeze-thaw cycles.

Cross
Bulk Quote Request Form
Name*:
Organization*:
Email*:
Phone Number*:
Catalog No.*:
Comments and Specifics(amount, formulation, etc.)*:
Validation code: Captchapackage Image


Can't read the image? click here to refresh.
    *required field

Your bulk quote request has been submitted successfully!

Please contact us if you have any questions.