• Tel: 858.663.9055
  • SeparatorEmail: info@nsjbio.com
  • Tel: 858.663.9055
  • Email: info@nsjbio.com
Home >> Antibodies >> Thioredoxin 2 Antibody

Thioredoxin 2 Antibody (RQ5560)

  Catalog No Formulation Size Price (USD)  
Image RQ5560 0.5mg/ml if reconstituted with 0.2ml sterile DI water 100 ug 439
Bulk quote request
Western blot testing of human 1) HeLa, 2) K562, 3) ThP-1, 4) U-2 OS and 5) U-87 MG cell lysate with Thioredoxin 2 antibody. Predicted molecular weight ~13 kDa.
Western blot testing of 1) rat kidney, 2) mouse liver, 3) mouse kidney and 4) mouse testis lysate with Thioredoxin 2 antibody. Predicted molecular weight ~13 kDa.
Immunofluorescent staining of FFPE human U-2 OS cells with Thioredoxin 2 antibody (green) and DAPI (blue). HIER: boil tissue sections in pH6, 10mM citrate buffer, for 20 min and allow to cool before testing.
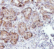
IHC staining of FFPE human breast cancer with Thioredoxin 2 antibody. HIER: boil tissue sections in pH6, 10mM citrate buffer, for 20 min and allow to cool before testing.
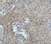
IHC staining of FFPE human lung cancer with Thioredoxin 2 antibody. HIER: boil tissue sections in pH6, 10mM citrate buffer, for 20 min and allow to cool before testing.
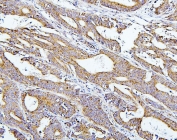
IHC staining of FFPE human intestinal cancer with Thioredoxin 2 antibody. HIER: boil tissue sections in pH6, 10mM citrate buffer, for 20 min and allow to cool before testing.
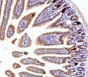
IHC staining of FFPE mouse small intestine with Thioredoxin 2 antibody. HIER: boil tissue sections in pH6, 10mM citrate buffer, for 20 min and allow to cool before testing.
IHC staining of FFPE rat intestine with Thioredoxin 2 antibody. HIER: boil tissue sections in pH6, 10mM citrate buffer, for 20 min and allow to cool before testing.
Flow cytometry testing of human ThP-1 cells with Thioredoxin 2 antibody at 1ug/million cells (blocked with goat sera); Red=cells alone, Green=isotype control, Blue= Thioredoxin 2 antibody.
Flow cytometry testing of human U-87 MG cells with Thioredoxin 2 antibody at 1ug/million cells (blocked with goat sera); Red=cells alone, Green=isotype control, Blue= Thioredoxin 2 antibody.
Availability 1-3 business days
Species Reactivity Human, Mouse, Rat
Format Antigen affinity purified
Clonality Polyclonal (rabbit origin)
Isotype Rabbit IgG
Purity Affinity purified
Buffer Lyophilized from 1X PBS with 2% Trehalose and 0.025% sodium azide
UniProt Q99757
Applications Western Blot : 0.25-0.5ug/ml
Immunohistochemistry (FFPE) : 1-2ug/ml
Immunofluorescence : 2-4ug/ml
Flow Cytometry : 1-3ug/million cells
Direct ELISA : 0.1-0.5ug/ml
Limitations This Thioredoxin 2 antibody is available for research use only.
Review this product on BioCompare and get a $20 Amazon gift card

Related Products

Description

Thioredoxin, mitochondrial also known as thioredoxin-2 is a protein that in humans is encoded by the TXN2 gene on chromosome 22. It is mapped to 22q12.3. This nuclear gene encodes a mitochondrial member of the thioredoxin family, a group of small multifunctional redox-active proteins. The encoded protein may play important roles in the regulation of the mitochondrial membrane potential and in protection against oxidant-induced apoptosis.

Application Notes

Optimal dilution of the Thioredoxin 2 antibody should be determined by the researcher.

Immunogen

A human recombinant protein (amino acids T60-G166) was used as the immunogen for the Thioredoxin 2 antibody.

Storage

After reconstitution, the Thioredoxin 2 antibody can be stored for up to one month at 4oC. For long-term, aliquot and store at -20oC. Avoid repeated freezing and thawing.

Cross
Bulk Quote Request Form
Name*:
Organization*:
Email*:
Phone Number*:
Catalog No.*:
Comments and Specifics(amount, formulation, etc.)*:
Validation code: Captchapackage Image


Can't read the image? click here to refresh.
    *required field

Your bulk quote request has been submitted successfully!

Please contact us if you have any questions.