• Tel: 858.663.9055
  • SeparatorEmail: info@nsjbio.com
  • Tel: 858.663.9055
  • Email: info@nsjbio.com
Home >> Antibodies >> THBS3 Antibody / Thrombospondin-3

THBS3 Antibody / Thrombospondin-3 (R33284)

  Catalog No Formulation Size Price (USD)  
Image R33284-100UG 0.5 mg/ml in 1X TBS, pH7.3, with 0.5% BSA (US sourced) and 0.02% sodium azide 100 ug 449
Bulk quote request
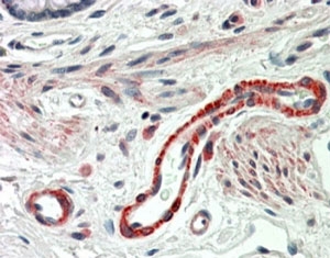
IHC testing of FFPE human colon with THBS3 antibody at 5ug/ml. HIER: steamed with pH6 citrate buffer, AP-staining.
Availability 1-3 business days
Species Reactivity Human
Predicted Reactivity Mouse, Dog, Pig, Cow
Format Antigen affinity purified
Clonality Polyclonal (goat origin)
Isotype Goat Ig
Purity Antigen affinity
Gene ID 7059
Applications Immunohistochemistry (FFPE) : 1-2ug/ml
ELISA (peptide) LOD : 1:32000
Limitations This THBS3 antibody is available for research use only.
Review this product on BioCompare and get a $20 Amazon gift card

Related Products

Description

Additional name(s) for this target protein: Thrombospondin 3; TSP3

Application Notes

Optimal dilution of the THBS3 antibody should be determined by the researcher.

Immunogen

Amino acids CNDTVPEDFEPFRRQ were used as the immunogen for this THBS3 antibody.

Storage

Aliquot and store the THBS3 antibody at -20oC.

Cross
Bulk Quote Request Form
Name*:
Organization*:
Email*:
Phone Number*:
Catalog No.*:
Comments and Specifics(amount, formulation, etc.)*:
Validation code: Captchapackage Image


Can't read the image? click here to refresh.
    *required field

Your bulk quote request has been submitted successfully!

Please contact us if you have any questions.