• Tel: 858.663.9055
  • SeparatorEmail: info@nsjbio.com
  • Tel: 858.663.9055
  • Email: info@nsjbio.com
Home >> Antibodies >> TGN46 Antibody / TGOLN2

TGN46 Antibody / TGOLN2 [clone AOHO-20] (RQ4738)

  Catalog No Formulation Size Price (USD)  
Image RQ4738 Antibody in PBS with 0.02% sodium azide, 50% glycerol and 0.4-0.5mg/ml BSA 100 ul 439
Microvalidated Rab Mono Image
Bulk quote request
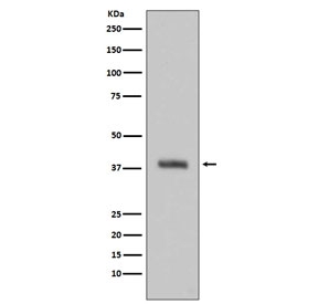
Western blot testing of human HeLa cell lysate with TGN46 antibody. Expected molecular weight: 38-120 kDa depending on glycosylation level.
Availability 1-2 weeks
Species Reactivity Human
Format Purified
Clonality Rabbit Monoclonal
Isotype Rabbit IgG
Clone Name AOHO-20
Purity Affinity purified
UniProt O43493
Applications Western Blot : 1:500-1:2000
Limitations This TGN46 antibody is available for research use only.
Review this product on BioCompare and get a $20 Amazon gift card

Related Products

Description

The TGOLN2 gene encodes a type I integral membrane protein that is localized to the trans-Golgi network, a major sorting station for secretory and membrane proteins. The encoded protein cycles between early endosomes and the trans-Golgi network, and may play a role in exocytic vesicle formation. Alternatively spliced transcript variants encoding multiple isoforms have been observed for this gene. [RefSeq]

Application Notes

Optimal dilution of the TGN46 antibody should be determined by the researcher.

Immunogen

A synthetic peptide specific to human TGN46 / TGOLN2 was used as the immunogen for the TGN46 antibody.

Storage

Store the TGN46 antibody at -20oC.

Alternate Names

TGN46, TGN51, TGN38, TGN38B, TGN48, TGOLN2

Cross
Bulk Quote Request Form
Name*:
Organization*:
Email*:
Phone Number*:
Catalog No.*:
Comments and Specifics(amount, formulation, etc.)*:
Validation code: Captchapackage Image


Can't read the image? click here to refresh.
    *required field

Your bulk quote request has been submitted successfully!

Please contact us if you have any questions.