• Tel: 858.663.9055
  • SeparatorEmail: info@nsjbio.com
  • Tel: 858.663.9055
  • Email: info@nsjbio.com
Home >> Antibodies >> TGM7 Antibody

TGM7 Antibody (R34470)

  Catalog No Formulation Size Price (USD)  
Image R34470-100UG 0.5 mg/ml in 1X TBS, pH7.3, with 0.5% BSA (US sourced) and 0.02% sodium azide 100 ug 449
Bulk quote request
Western blot testing of mouse kidney lysate with TGM7 antibody at 0.1ug/ml. The expected ~75 kDa band and additional ~17 kDa band are both blocked by the immunizing peptide.
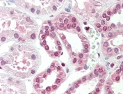
IHC testing of FFPE human kidney tissue with TGM7 antibody at 5ug/ml. Required HIER: steamed antigen retrieval with pH6 citrate buffer; AP-staining.
Availability 1-3 business days
Species Reactivity Human, Mouse
Predicted Reactivity Dog, Pig
Format Antigen affinity purified
Clonality Polyclonal (goat origin)
Isotype Goat Ig
Purity Antigen affinity
Gene ID 116179
Applications Western Blot : 0.1-0.3ug/ml
IHC (FFPE) : 5ug/ml
ELISA (peptide) LOD : 1:16000
Limitations This TGM7 antibody is available for research use only.
Review this product on BioCompare and get a $20 Amazon gift card

Related Products

Description

Additional name(s) for this target protein: Transglutaminase 7

Application Notes

Optimal dilution of the TGM7 antibody should be determined by the researcher.

Immunogen

Amino acids KIEISQGQGHSVT were used as the immunogen for this TGM7 antibody.

Storage

Aliquot and store the TGM7 antibody at -20oC.

Cross
Bulk Quote Request Form
Name*:
Organization*:
Email*:
Phone Number*:
Catalog No.*:
Comments and Specifics(amount, formulation, etc.)*:
Validation code: Captchapackage Image


Can't read the image? click here to refresh.
    *required field

Your bulk quote request has been submitted successfully!

Please contact us if you have any questions.