• Tel: 858.663.9055
  • SeparatorEmail: info@nsjbio.com
  • Tel: 858.663.9055
  • Email: info@nsjbio.com
Home >> Antibodies >> TGFBI Antibody

TGFBI Antibody (R35372)

  Catalog No Formulation Size Price (USD)  
Image R35372-100UG 0.5 mg/ml in 1X TBS, pH7.3, with 0.5% BSA (US sourced) and 0.02% sodium azide 100 ug 449
Bulk quote request
Western blot testing of human kidney lysate with TGFBI antibody at 0.3ug/ml. Predicted molecular weight: ~75 kDa.
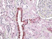
IHC staining of FFPE human kidney with TGFBI antibody at 3.8ug/ml. HIER: steamed with pH6 citrate buffer, AP-staining.
Availability 1-3 business days
Species Reactivity Human
Predicted Reactivity Mouse, Rat, Dog
Format Antigen affinity purified
Clonality Polyclonal (goat origin)
Isotype Goat Ig
Purity Antigen affinity
Gene ID 7045
Applications Western Blot : 0.2-0.5ug/ml
Immunohistochemistry (FFPE) : 4-6ug/ml
ELISA (peptide) LOD : 1:32000
Limitations This TGFBI antibody is available for research use only.
Review this product on BioCompare and get a $20 Amazon gift card

Related Products

Description

Additional name(s) for this target protein: Transforming growth factor, beta-induced, 68kDa

Application Notes

Optimal dilution of the TGFBI antibody should be determined by the researcher.

Immunogen

Amino acids QLYTDRTEKLRPE were used as the immunogen for this TGFBI antibody.

Storage

Aliquot and store the TGFBI antibody at -20oC.

Cross
Bulk Quote Request Form
Name*:
Organization*:
Email*:
Phone Number*:
Catalog No.*:
Comments and Specifics(amount, formulation, etc.)*:
Validation code: Captchapackage Image


Can't read the image? click here to refresh.
    *required field

Your bulk quote request has been submitted successfully!

Please contact us if you have any questions.