• Tel: 858.663.9055
  • SeparatorEmail: info@nsjbio.com
  • Tel: 858.663.9055
  • Email: info@nsjbio.com
Home >> Antibodies >> TGF Beta Receptor Antibody

TGF Beta Receptor Antibody (F50803)

  Catalog No Formulation Size Price (USD)  
Image F50803-0.4ML In 1X PBS, pH 7.4, with 0.09% sodium azide 0.4 ml 429
Image
F50803-0.08ML In 1X PBS, pH 7.4, with 0.09% sodium azide 0.08 ml 199
Bulk quote request
Western blot analysis of TGF Beta Receptor antibody and Jurkat lysate. Predicted molecular weight: ~55kDa.
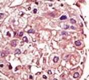
IHC analysis of FFPE human hepatocarcinoma tissue stained with the TGF Beta Receptor antibody
Availability 1-3 business days
Species Reactivity Human
Predicted Reactivity All species
Format Purified
Clonality Polyclonal (rabbit origin)
Isotype Rabbit Ig
Purity Purified
UniProt P36897
Applications Western Blot : 1:500-1:1000
Immunohistochemistry (FFPE) : 1:50-1:100
Limitations This TGF Beta Receptor antibody is available for research use only.
Review this product on BioCompare and get a $20 Amazon gift card

Related Products

Description

The protein encoded by this gene forms a heteromeric complex with type II TGF-beta receptors when bound to TGF-beta, transducing the TGF-beta signal from the cell surface to the cytoplasm. The encoded protein is a serine/threonine protein kinase. Mutations in this gene have been associated with Loeys-Dietz aortic aneurysm syndrome (LDAS).

Application Notes

Titration of the TGF Beta Receptor antibody may be required due to differences in protocols and secondary/substrate sensitivity.

Immunogen

A portion of amino acids 134-163 from the human protein was used as the immunogen for this TGF Beta Receptor antibody.

Storage

Aliquot the TGF Beta Receptor antibody and store frozen at -20oC or colder. Avoid repeated freeze-thaw cycles.

Cross
Bulk Quote Request Form
Name*:
Organization*:
Email*:
Phone Number*:
Catalog No.*:
Comments and Specifics(amount, formulation, etc.)*:
Validation code: Captchapackage Image


Can't read the image? click here to refresh.
    *required field

Your bulk quote request has been submitted successfully!

Please contact us if you have any questions.