• Tel: 858.663.9055
  • SeparatorEmail: info@nsjbio.com
  • Tel: 858.663.9055
  • Email: info@nsjbio.com
Home >> Antibodies >> TGF beta Antibody / TGFB

TGF beta Antibody / TGFB [clone TGFB/7240] (V4620)

  Catalog No Formulation Size Price (USD)  
Image V4620-100UG 0.2 mg/ml in 1X PBS with 0.1 mg/ml BSA (US sourced), 0.05% sodium azide 100 ug 539
Image
V4620-20UG 0.2 mg/ml in 1X PBS with 0.1 mg/ml BSA (US sourced), 0.05% sodium azide 20 ug 249
Image
V4620SAF-100UG 1 mg/ml in 1X PBS; BSA free, sodium azide free 100 ug 539
Bulk quote request
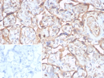
IHC staining of FFPE human placental tissue with TGF beta antibody (clone TGFB/7240). Inset: PBS used in place of primary Ab (secondary Ab negative control). HIER: boil tissue sections in pH 9 10mM Tris with 1mM EDTA for 20 min and allow to cool before testing.
SDS-PAGE analysis of purified, BSA-free TGF beta antibody (clone TGFB/7240) as confirmation of integrity and purity.
Availability 1-3 business days
Species Reactivity Human
Format Purified
Clonality Monoclonal (mouse origin)
Isotype Mouse IgG
Clone Name TGFB/7240
Purity Protein A/G affinity
UniProt P01137
Localization Cytoplasm, Extracellular (secreted)
Applications Immunohistochemistry (FFPE) : 1-2ug/ml for 30 min at RT
Limitations This TGF beta antibody is available for research use only.
Review this product on BioCompare and get a $20 Amazon gift card

Related Products

Description

This mAb recognizes TGF beta 1, 2 and 3. Three TGF betas have been identified in mammals. TGF beta 1, TGF beta 2 and TGF beta 3 are each synthesized as precursor proteins that are very similar in that each is cleaved to yield a 112 amino acid polypeptide that remains associated with the latent portion of the molecules. Biologically active TGF beta requires dimerization of the monomers (usually homodimers) and release of the latent peptide portion. Overall, the mature region of the TGF beta 3 protein has approximately 80% identity to the mature region of both TGF beta 1 and TGF beta 2. However, the NH2 terminals or precursor regions of their molecules share only 27% sequence identity. TGF beta s inhibits the growth of epithelial cells and stimulate the growth of mesenchymal cells.

Application Notes

Optimal dilution of the TGF beta antibody should be determined by the researcher.

Immunogen

A recombinant partial protein sequence (within amino acids 200-390) from the human TGFB1 was used as the immunogen for the TGF beta antibody.

Storage

Aliquot the TGF beta antibody and store frozen at -20oC or colder. Avoid repeated freeze-thaw cycles.

Cross
Bulk Quote Request Form
Name*:
Organization*:
Email*:
Phone Number*:
Catalog No.*:
Comments and Specifics(amount, formulation, etc.)*:
Validation code: Captchapackage Image


Can't read the image? click here to refresh.
    *required field

Your bulk quote request has been submitted successfully!

Please contact us if you have any questions.