• Tel: 858.663.9055
  • SeparatorEmail: info@nsjbio.com
  • Tel: 858.663.9055
  • Email: info@nsjbio.com
Home >> Antibodies >> TGF beta 3 Antibody / TGFB3

TGF beta 3 Antibody / TGFB3 [clone TGFB3/4801] (V4355)

  Catalog No Formulation Size Price (USD)  
Image V4355-100UG 0.2 mg/ml in 1X PBS with 0.1 mg/ml BSA (US sourced), 0.05% sodium azide 100 ug 539
Image
V4355-20UG 0.2 mg/ml in 1X PBS with 0.1 mg/ml BSA (US sourced), 0.05% sodium azide 20 ug 249
Image
V4355SAF-100UG 1 mg/ml in 1X PBS; BSA free, sodium azide free 100 ug 539
Microvalidated
Bulk quote request
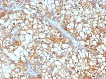
IHC staining of FFPE human renal cell carcinoma tissue with TGF beta 3 antibody (clone TGFB3/4801). HIER: boil tissue sections in pH 9 10mM Tris with 1mM EDTA for 20 min and allow to cool before testing.
SDS-PAGE analysis of purified, BSA-free TGF beta 3 antibody (clone TGFB3/4801) as confirmation of integrity and purity.
Analysis of a HuProt(TM) microarray containing more than 19,000 full-length human proteins using TGF beta 3 antibody (clone TGFB3/4801). Z- and S- Score: The Z-score represents the strength of a signal that a monoclonal antibody (in combination with a fluorescently-tagged anti-IgG secondary antibody) produces when binding to a particular protein on the HuProt(TM) array. Z-scores are described in units of standard deviations (SD's) above the mean value of all signals generated on that array. If targets on HuProt(TM) are arranged in descending order of the Z-score, the S-score is the difference (also in units of SD's) between the Z-score. S-score therefore represents the relative target specificity of a mAb to its intended target. A mAb is considered to specific to its intended target, if the mAb has an S-score of at least 2.5. For example, if a mAb binds to protein X with a Z-score of 43 and to protein Y with a Z-score of 14, then the S-score for the binding of that mAb to protein X is equal to 29.
Availability 1-3 business days
Species Reactivity Human
Format Purified
Clonality Monoclonal (mouse origin)
Isotype Mouse IgG2, kappa
Clone Name TGFB3/4801
Purity Protein A/G affinity
UniProt P10600
Localization Secreted
Applications Immunohistochemistry (FFPE) : 1-2ug/ml for 30 min at RT
Limitations This TGF beta 3 antibody is available for research use only.
Review this product on BioCompare and get a $20 Amazon gift card

Description

Transforming growth factor betas (TGF-betas) were originally discovered due to their ability to promote anchorage-independent growth of rat NRK fibroblasts in the presence of TGF-beta. TGF-beta 1, TGF-beta 2 and TGF-beta 3 are each synthesized as precursor proteins that are very similar in that each is cleaved to yield a 112 amino acid polypeptide that remains associated with the latent portion of the molecules. TGF-beta 3 mediates many intercellular interactions that occur during embryonic development, cell differentiation and epithelial homeostasis. TGF-beta 3 overexpresses in extramammary Paget s disease (EPD) and downregulates in Bowen s disease, indicating that its expression is a useful indicator of tumor activity. TGF-beta 3 levels strongly correlate with IGF-1 and osteocalcin levels in serum. Significant amounts of TGF-beta 3 circulation appear to be representative of TGFbeta 3 expression in bone and may in part be derived from bone. Glucocorticoids may block TGF-beta production by modulating mRNA levels and c-Jun activity.

Application Notes

Optimal dilution of the TGF beta 3 antibody should be determined by the researcher.

Immunogen

A recombinant partial protein sequence (within amino acids 50-250) from the human protein was used as the immunogen for the TGF beta 3 antibody.

Storage

Aliquot the TGF beta 3 antibody and store frozen at -20oC or colder. Avoid repeated freeze-thaw cycles.

Cross
Bulk Quote Request Form
Name*:
Organization*:
Email*:
Phone Number*:
Catalog No.*:
Comments and Specifics(amount, formulation, etc.)*:
Validation code: Captchapackage Image


Can't read the image? click here to refresh.
    *required field

Your bulk quote request has been submitted successfully!

Please contact us if you have any questions.