• Tel: 858.663.9055
  • SeparatorEmail: info@nsjbio.com
  • Tel: 858.663.9055
  • Email: info@nsjbio.com
Home >> Antibodies >> TGF-alpha Antibody Cocktail

TGF-alpha Antibody Cocktail [clone TG86 + P/T1] (V2887)

  Catalog No Formulation Size Price (USD)  
Image V2887-100UG 0.2 mg/ml in 1X PBS with 0.1 mg/ml BSA (US sourced) and 0.05% sodium azide 100 ug 539
Image
V2887-20UG 0.2 mg/ml in 1X PBS with 0.1 mg/ml BSA (US sourced) and 0.05% sodium azide 20 ug 249
Image
V2887SAF-100UG 1 mg/ml in 1X PBS; BSA free, sodium azide free 100 ug 539
Bulk quote request
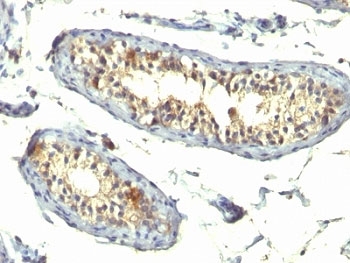
IHC: Formalin-fixed, paraffin-embedded human testicular carcinoma stained with TGF-alpha antibody (TG86 + P/T1).
Availability 1-3 business days
Species Reactivity Human
Format Purified
Clonality Monoclonal (mouse origin)
Isotype Mouse IgG1, kappa
Clone Name TG86 + P/T1
Purity PEG precipitation
UniProt P01135
Localization Cytoplasmic and extracellular (secreted)
Applications Flow Cytometry : 1-2ug/10^6 cells
Immunofluorescence : 1-2ug/ml
Immunohistochemistry (FFPE) : 2-4ug/ml for 30 min at RT
Limitations This TGF-alpha antibody cocktail is available for research use only.
Review this product on BioCompare and get a $20 Amazon gift card

Related Products

Description

This antibody reacts with the TGF alpha and shows no cross-reaction with EGF and the neuropeptide synenkephalin. The staining with this mAb is completely blocked by the peptide used for raising this antibody. TGFa is a growth factor with 33% homology to EGF, binds to EGFR, activates tyrosine phosphorylation of the receptor, and stimulates cell proliferation. It plays a role in tumor initiation by inducing the reversible transformed phenotype.

Application Notes

Optimal dilution of the TGF-alpha antibody cocktail should be determined by the researcher.

1. Staining of formalin-fixed tissues requires boiling tissue sections in pH 9 10mM Tris with 1mM EDTA for 10-20 min followed by cooling at RT for 20 min.

Immunogen

Amino acids 34-43 (PPVAAAVVSH) from the human protein were used as the immunogen for the TGF-alpha antibody.

Storage

Store the TGF-alpha antibody cocktail at 2-8oC (with azide) or aliquot and store at -20oC or colder (without azide).

Cross
Bulk Quote Request Form
Name*:
Organization*:
Email*:
Phone Number*:
Catalog No.*:
Comments and Specifics(amount, formulation, etc.)*:
Validation code: Captchapackage Image


Can't read the image? click here to refresh.
    *required field

Your bulk quote request has been submitted successfully!

Please contact us if you have any questions.