• Tel: 858.663.9055
  • SeparatorEmail: info@nsjbio.com
  • Tel: 858.663.9055
  • Email: info@nsjbio.com
Home >> Antibodies >> TG2 Antibody / Transglutaminase 2 / TGM2

TG2 Antibody / Transglutaminase 2 / TGM2 (R34793)

  Catalog No Formulation Size Price (USD)  
Image R34793-100UG 0.5 mg/ml in 1X TBS, pH7.3, with 0.5% BSA (US sourced) and 0.02% sodium azide 100 ug 449
Bulk quote request
Western blot testing of human placental tissue lysate with TG2 antibody. Predicted molecular weight: ~78 kDa.
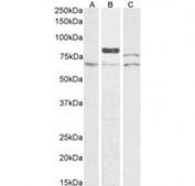
Western blot testing of human A) K562, B) A549 and C) Caco-2 cell lysate with TG2 antibody. Predicted molecular weight: ~78 kDa.
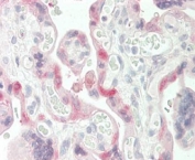
IHC staining of FFPE human placental tissue with TG2 antibody. Required HIER: steamed antigen retrieval with pH6 citrate buffer; AP-staining.
FACS testing of fixed and permeabilized human A549 cells with TG2 antibody (blue) at 1ug/million cells/0.1ml and naive goat Ig (black).
Availability 1-3 business days
Species Reactivity Human
Format Antigen affinity purified
Clonality Polyclonal (goat origin)
Isotype Goat Ig
Purity Antigen affinity
Gene ID 7052
Applications Western Blot : 0.1-0.3ug/ml
Immunohistochemistry (FFPE) : 5-10ug/ml
Flow Cytometry : 1ug/million cells in 0.1ml
ELISA (peptide) LOD : 1:128000
Limitations This TG2 antibody is available for research use only.
Review this product on BioCompare and get a $20 Amazon gift card

Related Products

Description

Additional name(s) for this target protein: Transglutaminase 2; TGM2

Application Notes

Optimal dilution of the TG2 antibody should be determined by the researcher.

1. This TG2 antibody is specific for isoform a.

Immunogen

Amino acids NFESDKLKAVKGFR were used as the immunogen for this TG2 antibody. This sequence is specific to isoform a.

Storage

Aliquot and store the TG2 antibody at -20oC.

Cross
Bulk Quote Request Form
Name*:
Organization*:
Email*:
Phone Number*:
Catalog No.*:
Comments and Specifics(amount, formulation, etc.)*:
Validation code: Captchapackage Image


Can't read the image? click here to refresh.
    *required field

Your bulk quote request has been submitted successfully!

Please contact us if you have any questions.